처음 / 진료 / 충치 치료 /

충치의 원인과 예방. 완전정복!

목동나무치과에서는 치아 건강과 치과 진료 관련한 아주 상세하지만 쉬운 글을 완전정복이라는 이름으로 시리즈로 작성하고 있습니다. 첫번째 글은 '충치의 원인과 예방. 완전정복!' 입니다.

충치의 충(蟲)은 벌레를 뜻하지만, 실제로 입 속에 벌레가 사는 것은 아닙니다. 이가 썩은 모습이 마치 벌레가 갉아먹은 것과 비슷하다고 하여 붙여진 이름입니다.

충치를 다른 말로 치아우식증(齒牙齲蝕症)이라고 부르기도 하는데, 사실 충치나 치아우식증이나 뜻에는 큰 차이가 없습니다. 우식은 충치 우(齲)와 좀 먹을 식(蝕)입니다.

사실 충치는 벌레 먹어서가 아니라 입 속의 세균이 음식물 찌꺼기 속 당분을 분해하여 배출하는 산(Acid)이 치아를 녹여서 생깁니다. 미생물에 의해서 유기물이 분해되어 냄새가 나거나 형태가 허물어지는 것을 우리는 흔히 '썩는다'라고 합니다. 따라서 벌레 먹은 이보다는 썩은 이가 더 정확한 표현​이라 할 수 있습니다.

치아와 이빨
치아와 이빨

사람은 치아, 동물은 이빨이라고 하는 사람들도 있는데 사람도 동물입니다. 치아는 이 치(齒)+ 어금니 아(牙)로 포함 관계의 단어 조합입니다.

이빨은 이+빨로, 빨은 줄을 나란히 늘어뜨려 만든 발에서 유래한 것으로 추측합니다. 한 글자인 이, 치가 문장 속에서 뜻이 명확하지 않아서 이빨, 치아로 늘려서 사용한 것으로 보입니다. 참고로 중국에서는 치과(齒科)가 아니라 아과(牙科)라고 합니다.

치아와 이빨은 같은 뜻이며, 한자어냐 고유어냐의 차이일 뿐입니다. 표준국어대사전은 이를 낮잡아 부르면 이빨이고 점잖게 이르면 치아라고 정의합니다.

하지만 한자어는 점잖고 우리말은 낮다는 과거의 고정관념이 반영된 것으로 보여, 현대 사회에서 굳이 우리말인 이빨을 낮춰 부르는 말로 한정할 이유는 없습니다.

충치는 입 속 세균이 음식물을 분해할 때 나오는 산(Acid)이 긴 시간 동안 치아를 녹여 발생합니다. 치아의 표면은 수산화인회석(Ca10(PO4)6(OH)2, 하이드록시아파타이트)이라는 매우 단단한 칼슘 결정 구조로 되어 있습니다.

수산화인회석 분자 구조
수산화인회석 분자 구조

산(H+)이 수산화인회석을 만나면 화학 반응하여 치아에 눈에 보이지 않는 작은 구멍이 생기고, 치아 밀도가 낮아져 푸석푸석해져서 결국 치아가 무너져 구멍(Cavity)이 생깁니다. 이 구멍이 충치입니다.

Ca10(PO4)6(OH)2 + 14H+ → 10Ca2+ + 6H2PO42- + 2H2O

충치는 세균, 음식물, 시간, 치아라는 4가지가 맞아떨어져야 발생합니다. 충치 발생 요인인 세균, 음식물, 시간, 치아에 대해서 좀 더 자세히 살펴보겠습니다.

1. 충치 세균 3대장

입 속에는 수백 종의 세균이 공생하고 있습니다. 그중에 충치의 원인균으로는 뮤탄스 균, 소브리누스 균, 그리고 락토바실러스 균이 있습니다. 뮤탄스 균은 충치의 주범, 소브리누스 균은 훨씬 독하고 공격적인 성향을 가진 공범, 그리고 락토바실러스 균은 열린 집의 물건을 털어가는 약탈자입니다.

충치 세균 3대장
충치 세균 3대장

뮤탄스 균: 충치를 일으키는 주범

스트렙토코쿠스 뮤탄스(Streptococcus Mutans)는 동그란 공(Coccus)이 사슬처럼 길게 연결된 모습으로, 환경에 따라서 모양이 변하는(Mutate) 것처럼 보이는 균입니다.

산을 만들어 내고, 강한 산성에서 죽지 않고, 산소가 없는 치아 깊은 곳이나 치석 안에서도 죽지 않습니다. 이런 특성을 통성 혐기성이라고 합니다. 공기가 있을 때는 산소 호흡을 하고, 없을 때는 발효로 에너지를 얻습니다.

티오글리콜레이트 배지에 배양된 뮤탄스 균
티오글리콜레이트 배지에 배양된 뮤탄스 균

소브리누스 균: 독하고 공격적인 공범

스트렙토코쿠스 소브리누스(Streptococcus Sobrinus)는 뮤탄스 균보다 더 강한 산을 내놓고, 치아 옆이나 앞부분의 매끄러운 표면에도 잘 달라붙습니다.

주로 뮤탄스 균과 함께 발견되며, 뮤탄스 균만 있는 것보다 충치 진행 속도가 훨씬 빠릅니다. 뮤탄스 균이 충치의 주범이고 소브리누스 균은 훨씬 독하고 공격적인 성향을 가진 공범입니다.

사탕수수 배지에 배양된 뮤탄스 균과 소브리누스균 (출처: Microbiological Research)
사탕수수 배지에 배양된 뮤탄스 균과 소브리누스균 (출처: Microbiological Research)

락토바실러스 균: 깊게 파괴하는 굴삭기

락토바실러스(Lactobacillus)는 장 건강에 좋은 유산균이지만 충치가 생긴 치아에는 좋지 않습니다. 뮤탄스 균이 만든 구멍으로 들어가 상아질을 빠르고 깊게 파괴하고 신경 근처까지 내려가는 굴삭기입니다.

락토바실러스균 (출처: 위키미디어)
락토바실러스균 (출처: 위키미디어)

뮤탄스가 문을 부수고 들어가는 침입자라면, 락토바실러스는 열린 집의 물건을 털어가는 약탈자라고 보면 됩니다. 유산균이 많은 요거트를 먹은 후에는 바로 물로 입을 헹구거나 양치하는 것이 좋습니다.

치태와 치석: 세균 집과 아파트

치태(플라그)는 치아 표면에 지속적으로 형성되는 끈적하고 투명한 세균막입니다. 입안에 남은 음식물 찌꺼기(당분)와 세균이 결합하여 만들어집니다. 식사 후 몇 분 내에 생기기 시작합니다.

다음 그림은 치아 표면에 있는 세균성 플라그입니다.

치아 표면의 세균성 치태 (출처: SPL / Barcroft Media)
치아 표면의 세균성 치태 (출처: SPL / Barcroft Media)

다음은 치태를 400배 확대한 모습입니다. 갈라진 논 같이 생겼지만 길쭉한 것은 모두 세균입니다. 치태 안 쪽에 세균의 서식지가 됩니다.

치태 400배 확대 (출처: SPL / Barcroft Media)
치태 400배 확대 (출처: SPL / Barcroft Media)

치태를 10,000배 확대하면 세균의 모습이 자세히 보입니다.

치태 10,000배 확대 (출처: SPL / Barcroft Media)
치태 10,000배 확대 (출처: SPL / Barcroft Media)

다음은 치태가 치석으로 바뀌는 과정을 설명하는 그림입니다.

치석이 생기는 과정
치석이 생기는 과정
  • 1단계. 펠리클 형성: 치아 표면에는 당단백질 성분이 치아 표면에 코팅되듯 달라붙어 아주 얇고 매끄러운 막을 만듭니다. 이 막을 획득 피막(펠리클, Pellicle)이라고 합니다.

    펠리클에는 세균이 없지만, 세균이 치아에 쉽게 달라붙을 수 있는 발판 역할을 하게 됩니다.

  • 2단계. 치태 축적: 뮤탄스 균과 소브리누스 균은 설탕을 재료로 해서 글루칸(Glucan)이라는 물에 녹지 않는 끈적한 물질을 만들고, 획득 피막에 달라붙어 서로 엉켜 붙으면서 끈적끈적하고 부드러운 막인 치태(플라그)라는 집을 짓습니다.

    치태는 산을 중화시키는 역할을 하는 침을 막아서 충치를 가속화합니다. 이때까지는 양치로 제거가 가능합니다.

  • 3단계. 무기질화: 시간이 지나면 침 속의 칼슘, 인 등 무기질 성분이 스며듭니다. 이 무기질 성분들이 치태를 석회화시켜 돌처럼 딱딱하게 만듭니다.

  • 4단계. 치석 형성: 완전히 딱딱하게 굳은 치석(Calculus, Tartar)은 치아 표면에 강력하게 부착되어 있어 일반적인 칫솔질로는 제거할 수 없습니다.

    치석의 거친 표면은 더 많은 치태가 쉽게 쌓이게 하여 잇몸 염증을 유발하고 치주 질환(풍치)을 악화시킵니다.

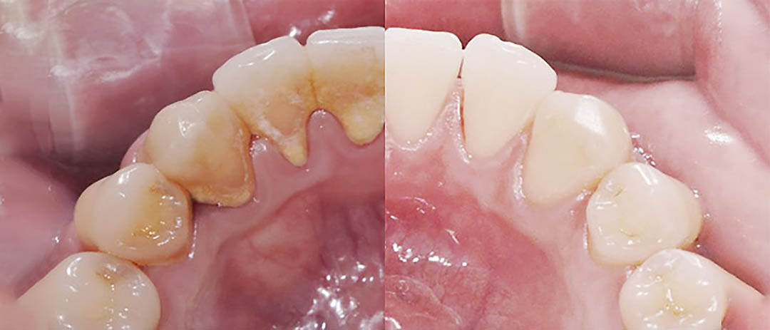
치태는 이틀이 지나면 굳기 시작하여 2주 만에 딱딱한 치석이 됩니다. 치석은 양치질로 제거되지 않습니다. 치과에서 스케일러로 깨뜨려서 떼어내야 합니다.

스케일링 하기 전(왼쪽)과 한 후(오른쪽). 양치하기 어려운 안쪽 치아에 치석이 잘 생깁니다.
스케일링 하기 전(왼쪽)과 한 후(오른쪽). 양치하기 어려운 안쪽 치아에 치석이 잘 생깁니다.

스케일링은 치아를 깎지 않습니다

스케일링은 초음파를 이용하여 치아 표면의 치석만 제거하는 것으로 치아를 깎아 내거나 손상시키지 않습니다.

스케일링 후 치아 사이가 벌어지거나 시린 증상은 치석 때문에 가려져 있던 치아 표면이 드러나고 잇몸이 가라앉아 나타나는 정상적인 현상입니다.

다음은 스케일링 전후의 앞니 모습입니다. 치아 사이를 메꾸던 치석이 떨어져 나가 앞니 사이에 구멍이 그대로 나타났습니다.

스케일링 하기 전(왼쪽)과 한 후(오른쪽)
스케일링 하기 전(왼쪽)과 한 후(오른쪽)

스케일링 전의 사진을 확대해보면 원래 치아와 치아 사이 벌어진 틈이 치석에 막혀있다가 스케일링으로 드러난 것을 알 수 있습니다.

치석이 계속 쌓이면 치아와 치아 사이가 더 벌어집니다. 스케일링은 치아가 더 벌어지는 것을 막아줍니다.

스케일링으로 치석이 제거되니 보이는 치아 사이의 틈
스케일링으로 치석이 제거되니 보이는 치아 사이의 틈

양치질을 꼼꼼히 하지 않거나 치실이나 치간 칫솔을 사용하지 않는다면 1년에 2번은 스케일링하는 것이 좋습니다.

목동나무치과는 '1년에 2번 스케일링으로 충치와 잇몸병 예방합시다.' 캠페인으로 첫 번째 스케일링은 건강보험으로 저렴하게, 비보험인 두 번째 스케일링은 보다 더 저렴한 1만원에 하고 있습니다.

헥사메딘과 입속의 세균 균형

입 속의 세균 대다수는 유해하지 않으며 외부에서 침입한 병원균의 증식을 막고 감염을 예방하는 중요한 역할을 합니다.

헥사메딘의 살균력은 매우 강력합니다. 헥사메딘을 장기간 사용하면 나쁜 세균뿐만 아니라 입 속을 건강하게 지켜주는 착한 세균(상재균)까지 모두 죽입니다.

입 속의 세균 균형이 무너지면 세균 대신 곰팡이균이 과도하게 번식하여 아구창 같은 구내염이 생기거나 전신 건강에 악영향을 끼칩니다. 최신 연구 결과에 의하면 입속 곰팡이균과 구강암이 상관관계가 있다는 사실이 밝혀졌습니다.

세균을 죽이는 힘이 강한 헥사메딘은 1일 2회, 연속해서 7일 이내만 사용하는 것이 좋습니다. 예전 헥사메딘은 색소가 들어가 있었지만 요즘 나오는 것은 색소가 없어 착색 위험이 줄어들었지만 헥사메딘 안의 클로르헥시딘 성분이 착색을 불러 일으킬 수 있습니다.

2. 세균이 좋아하는 음식물

세균은 당분을 분해해서 에너지를 얻고 산성물질을 남겨 치아를 녹입니다. 뮤탄스 균은 설탕, 포도당, 과당, 유당 등 작은 당분을 좋아합니다.

단맛이 나지 않는 음식도 안심할 수 없습니다. 밥이나 감자 같은 전분(거대한 탄수화물 덩어리)도 결국은 뮤탄스 균의 먹이가 되기 때문입니다. 침 속에는 소화 효소인 아밀라아제가 들어 있습니다. 우리가 전분질 음식을 씹을 때, 아밀라아제는 거대한 탄수화물 사슬을 끊어 아주 작은 당분(맥아당, 포도당 등)으로 쪼개버립니다.

밥이나 빵을 오래 씹으면 단맛이 느껴지는 이유가 바로 전분이 당으로 변했기 때문입니다. 이렇게 쪼개진 미세한 당분은 뮤탄스 균이 섭취하기 가장 좋은 형태가 되어 충치 활성도를 높입니다.

충치를 유발하는 음식물
충치를 유발하는 음식물

충치를 유발하는 음식물은 다음과 같습니다.

  • 탄수화물과 점성이 높은 음식: 젤리, 캐러멜, 엿, 밀크 초콜릿, 약과 등 당분을 포함하여 탄수화물이 많고 점성이 있어 치아에 달라붙는 음식이 제일 나쁩니다. 치아 표면뿐만 아니라 칫솔이 닿기 힘든 어금니의 깊은 주름이나 치아 사이 사이에 강력하게 달라붙습니다. 침에 의해 잘 씻겨 내려가지 않아 세균에게 오랫동안 먹이를 공급하는 당분 창고 역할을 합니다.

  • 탄수화물이 많고 입 안에 오랫동안 있는 음식: 사탕은 녹여 먹는 동안 입안 전체가 지속적인 당분 목욕을 하게 됩니다. 쿠키, 비스켓, 크래커는 바삭해 보이지만, 침과 섞이면 끈적한 반죽 형태로 변합니다. 이 반죽은 치아 사이에 껴서 잘 빠지지 않으며, 시간이 지날수록 발효되어 산도를 높입니다.

  • 당분을 많이 함유한 산성 음료: 콜라/사이다(탄산음료), 가당 오렌지 주스, 요구르트, 이온 음료 등 대부분의 음료는 그 자체로 강한 산성을 띠고 있어 치아 표면을 직접 부식시킵니다. 여기에 첨가된 액상과당은 세균의 폭발적인 번식을 돕습니다. 특히 끈적한 요구르트는 치아에 잘 달라붙어 충치 유발 지수가 생각보다 높습니다.

다음은 음식물의 충치 유발 지수 그래프입니다. 섬유질이 풍부한 김치는 충치 유발 지수가 낮고, 입 속에 오래 있거나, 끈적이는 젤리, 캐러멜, 사탕, 초콜릿의 충치 유발 지수는 높습니다다. 우유의 충치 유발 지수는 예상보다 비교적 낮은 편입니다.

충치 유발 지수 순위
충치 유발 지수 순위

쌀, 밀(빵/면), 감자, 고구마, 옥수수 등의 곡식류와 바나나, 포도, 사과, 망고 등 당도 높은 과일도 탄수화물 함유율이 높습니다. 이들은 우리 몸을 움직이는 필수 에너지원인 탄수화물의 보고이므로 섭취를 중단할 수는 없습니다. 입안에 찌꺼기가 남으면 충치균의 먹이가 되므로 식사 후에는 양치가 필수입니다.

3. 양치 안 하고 방치된 시간

양치 안 하고 방치된 시간이 길어질수록 세균 활동이 활발해집니다. 따라서 양치질은 식사 후에 바로 하는 것이 좋습니다.

입 속에서 벌어지는 전쟁

우리의 치아 표면(법랑질)은 수산화인회석(Hydroxyapatite)이라는 단단한 광물질로 이루어져 있습니다. 이 성분은 칼슘(Ca)과 인(P)이 주성분입니다.

pH 5.5 이하로 떨어지면 치아 표면에서 칼슘과 인 같은 미네랄 성분이 빠져나가 치아가 일시적으로 약해집니다(탈회). 침 속의 중탄산염이 pH를 회복시키면 치아에 다시 칼슘과 인이 채워집니다(재광화).

입 속에서는 매일 탈회와 재광화라는 눈에 보이지 않는 전쟁이 벌어집니다. 건강한 치아는 이 두 과정이 균형을 이룹니다. 하지만 산 공격이 너무 강해지면 재광화가 따라가지 못해 구멍(Cavity)이 생기는데, 이것이 충치입니다.

입속에서 벌어지는 탈회와 재광화
입속에서 벌어지는 탈회와 재광화

산성 음료를 마신 경우

레몬, 콜라, 식초, 주스와 같이 강한 산성 음식을 먹거나 마시면, 우리 몸은 즉각 반응하여 침 분비를 늘려 중화합니다.

침 속의 중탄산염(Bicarbonate, HCO3-)은 산 성분(H+)과 반응하여 탄산(H2CO3)이 된 후에 물(H2O)과 이산화탄소(CO2)로 분해되어 산성을 중성으로 만듭니다. 혈액에서도 동일한 방식으로 우리 몸의 pH 균형을 유지합니다.

H+ + HCO3- ⇌ H2CO3 ⇌ H2O + CO2

보통 중성인 pH 7.0부근으로 돌아오는 데 20~30분 정도 걸립니다. 음식을 너무 자주 먹으면 계속 산성 상태에 머물러 치아에 좋지 않습니다. 식사와 식사 사이에 간식을 먹는 것은 다이어트 뿐만 아니라 치아에도 좋지 않습니다.

산성 음식을 먹은 직후에는 치아 표면이 일시적으로 물러진 상태입니다. 이때 바로 칫솔질을 하면 치아가 마모될 수 있습니다.

산성 음식을 먹은 경우에는 바로 물로 헹구고, 30분 정도 뒤에 까먹지 말고 양치하는 것이 좋습니다.

자기 전에 양치질을 꼭 해야 하는 이유

우리가 잠을 자는 동안에는 부교감 신경계가 우세해지면서 신체 대사량이 줄어듭니다. 이때 침샘도 활동을 거의 멈추게 됩니다.

깨어 있을 때와 비교하면 수면 중 침 분비량은 거의 0에 가깝게 줄어들거나 평소의 10분의 1 수준 이하로 떨어집니다. 입을 벌리고 자는 습관이 있다면 구강 건조는 더욱 심해집니다.

만약 자기 전에 양치를 제대로 안 했거나 간식을 먹고 바로 잤다고 가정해 봅시다. 충치균은 밤새 입 속에 남은 당분을 먹고 산을 만들어냅니다.

그런데 이 산을 중화시켜 줄 침이 없습니다. 그 결과 입 속은 오랜 시간 동안 산성 상태로 유지되고, 치아는 밤새 산성 용액 속에 담겨있는 것과 같아져 매우 빠르게 부식됩니다.

침이 흐르지 않으니 세균이나 미세한 음식 찌꺼기가 씻겨 내려가지 않고 치아 사이나 잇몸 경계부에 고스란히 머물게 됩니다.

항균 성분도 없으므로 세균들은 아무런 방해 없이 폭발적으로 증식합니다. 치아를 수리해 줄 미네랄 공급원인 침이 없으므로, 밤사이 진행되는 치아 표면의 손상(탈회)을 막거나 복구할 방법이 사라집니다.

자기 전 양치가 하루 중 가장 중요합니다. 자기 전에 입 속을 완벽하게 깨끗이 비워두지 않으면, 수면 시간은 충치가 생기기에 가장 완벽한 시간이 되어버립니다. 자기 전에는 잊지 말고 꼭 양치하세요.

치아를 불소로 코팅하면 좋은 이유

불소 이온(F⁻)은 침 속에 떠다니는 칼슘 이온(Ca2+)과 인산 이온(PO43-)을 치아의 손상된 부위로 강력하게 끌어당깁니다.

단순히 끌어오는 것을 넘어, 이 미네랄들이 치아 표면에 더 빠르고 단단하게 달라붙도록 돕습니다.

손상된 치아를 무너진 벽돌담이라고 한다면, 불소는 벽돌(칼슘, 인)이 더 빨리 굳고 튼튼하게 붙도록 돕는 최고급 시멘트 혼합재입니다.

보석같은 인산칼륨 결정 사진 (출처: SPL / Barcroft Media)
보석같은 인산칼륨 결정 사진 (출처: SPL / Barcroft Media)

치아의 원래 성분인 수산화인회석 결정 구조에는 수산화기(OH-)가 포함되어 있습니다. 이 부분은 산성 환경에서 비교적 쉽게 떨어져 나가며 결합이 깨집니다.

불소가 치아에 닿으면, 수산화인회석 구조 속에 있는 수산화기를 밀어내고 그 자리를 불소 이온(F⁻)이 차지합니다. 이렇게 불소가 결합된 새로운 구조를 불화인회석(플루오로아파타이트)이라고 합니다.

Ca10(PO4)6(OH)>2 + 2F- ⇒ Ca10(PO4)6F>2 + 2OH-
_box 수산화인회석 + 2불소이온 ⇒ 불화인회석 + 2수산화이온

불소 이온은 수산화 이온보다 크기가 작고 전기적인 결합력이 훨씬 강합니다. 따라서 불소가 들어가서 만들어진 불화인회석의 결정 구조는 원래의 치아 구조보다 훨씬 치밀하고 안정적이며 단단합니다.

백운모(녹색) 위의 플루오로아파타이트(분홍색) (출처: 위키피디아)
백운모(녹색) 위의 플루오로아파타이트(분홍색) (출처: 위키피디아)

불화인회석은 자연계에도 존재하며 보석에도 사용합니다. 치아에 불소 도포하여 치아를 보석처럼 만드세요.

목동나무치과는 성인 불소겔, 유아동 불소바니쉬 도포 등 치주 예방 치료 비용을 비교적 낮게 유지하고 있습니다. 예방하는 것이 발병 후 치료하는 것보다 시간, 비용, 치아 수명 면에서 훨씬 낫습니다.

4. 충치가 잘 생기는 치아 부위

충치 발생 요인의 마지막은 치아입니다. 치아는 매끈한 조약돌 같은 모양이 아닙니다. 치아는 위치와 기능에 따라 울퉁불퉁하고 복잡한 구조를 가지고 있습니다.

이 때문에 칫솔질을 열심히 해도 구조적으로 음식물이 잘 끼고 닦이지 않아서 충치에 특히 취약한 3대 사각지대가 존재합니다. 이 부분을 집중적으로 관리하는 것이 충치 예방의 핵심입니다.

소와열구: 어금니 윗면의 좁고 깊은 주름

어금니 위쪽에는 좁고 깊은 홈과 주름이 있습니다. 한자로 소와열구(小窩裂溝)라고 합니다. 소와는 작은 구멍, 열구는 갈라진 틈이라는 뜻입니다. 소와열구에는 음식물이 끼어 충치가 생기기 쉽습니다.

왼쪽과 오른쪽에 큰어금니 2개, 작은 어금니 2개씩 있습니다. 위쪽과 아래쪽이 있으니 일반적으로 입속에는 16개의 어금니가 있습니다.

어금니를 구치라고 하기도 합니다. 구는 절구 구(臼)입니다. 구치는 절구처럼 음식을 잘게 부수는 역할을 합니다. 구치가 아닌 치아, 송곳니와 앞니는 전치라고 합니다. 전은 앞 전(前)입니다.

아래 치아에서 어금니 윗면을 살펴보면 모두 좁고 깊은 주름이 있고 큰 어금니 8개 중에 6개에 충치가 생겨 아말감, GI로 충전하고 금으로 보철치료 되어 있습니다.

아말감은 입 속에서 검게 보이고, GI는 우유빛이지만 치아랑 약간 색깔이 달라서 구분이 됩니다.

어금니 윗면에 충전 치료 및 인레이 보철 치료한 어금니
어금니 윗면에 충전 치료 및 인레이 보철 치료한 어금니

윗 치아에서 왼쪽 안쪽에서 두 번째 치아의 아말감을 자세히 살펴보면 떨어져 나갔습니다. 오른쪽 안쪽에서 두 번째 치아도 금으로 보철한 부분에 구멍이 생겼습니다. 그 틈으로 음식물이 들어가서 보철물 안쪽에 충치가 생겨서 통증으로 내원한 경우입니다.

아말감이나 GI의 수명은 일반적으로 2~5년 정도입니다. 이제 치아와 거의 구분이 안되고 아말감, GI보다 강한 레진으로 치료할 때입니다.

이렇게 어금니 윗면에는 충치가 잘 생기므로 양치할 때는 어금니 윗면을 신경 써서 닦아야 합니다.

어금니 홈메우기는 충치를 예방합니다

유치가 빠지고 영구치가 날 때도 어금니 윗면에 충치가 생기기 쉽습니다. 어린이 충치는 대부분 어금니 윗면에서 발생합니다.

첫 번째 어금니가 나는 6세부터 8세까지 어금니의 홈에 실란트(Sealant)를 발라 틈을 채우면 충치를 예방하는 데 큰 도움이 됩니다.

어금니 홈메우기 전과 후
어금니 홈메우기 전과 후

실란트로 어금니 홈을 메우는 치료는 국민건강보험이 적용됩니다. 만 18세 이하의 경우 위, 아래, 좌우 각 2개씩 총 8개 치아까지 보험 적용을 받을 수 있으며, 치과의원 기준으로 치아 1개당 약 8,400원에서 9,700원 정도가 듭니다.

초등학교 입학 전에는 첫 번째 어금니 4개 모두 실란트 치료를 하는 것이 좋습니다. 또한 실란트를 한 이후에는 1년에 한 번 치과 검진을 통해 실란트에 금이 간 부분이 없는지 확인해야 합니다.

치경부: 잇몸과 맞닿은 치아 목 부분

치아는 머리부분(치관), 치경부(목부분), 뿌리부분(치근)으로 나눕니다.

치경부(齒頸部)에서 경은 목 경(頸)입니다. 국경할 때의 경이 아니라 경부 압박, 경동맥 할 때의 경입니다. 치경부는 잇몸과 맞닿아 있습니다.

치아의 구조
치아의 구조

치아 겉은 단단한 법랑질이나 안은 약간 무른 상아질로 되어 있습니다. 치경부는 법랑질 두께가 얇아 치아가 패이면 쉽게 상아질이 노출됩니다.

그리고, 치아 뿌리 부분은 법랑질 대신 백악질이라는 얇은 막으로 덮여 있어 충치 진행 속도가 매우 빠릅니다.

치경부 마모증: 치아 목 부분이 패임

잇몸과 맞닿은 치경부가 마모되어 패여 나가면 상아질이 노출되면서 신경이 자극을 받아 찬물, 찬바람, 양치질 시에 찌릿하거나 시린 통증이 생깁니다.

또한 치아 옆면이 패이면 그 부위에 음식물이 쌓여 충치가 발생하기 쉽습니다. 치아 옆면이 패이는 이런 증상을 치경부 마모증이라고 합니다.

치경부 마모증을 레진으로 치료한 결과
치경부 마모증을 레진으로 치료한 결과
치경부 마모증을 레진으로 치료한 결과
치경부 마모증을 레진으로 치료한 결과

원인: 잘못된 양치 습관과 씹는 힘

치경부가 마모되는 이유는 씹는 힘과 잘못된 양치 습관 때문입니다.

치아는 매우 단단해 보이지만, 음식을 씹을 때 미세하게 휘어지는 성질이 있습니다.

질기고 딱딱한 음식을 즐기거나 이갈이, 이를 악무는 습관이 있거나 부정 교합으로 특정 치아에 힘이 가중되면, 치아의 가장 얇은 목 부분에 힘이 집중되어 미세한 균열이 발생하거나 깨져나갈 수 있습니다(치아굴곡파절​​).

이렇게 균열이 발생한 부위에 칫솔질이라는 마찰력이 더해지면 치경부마모증이 발생합니다. 양치할 때는 치아 결 방향으로 부드럽게 하는 것 꼭 기억하세요. 칫솔모도 단단한 것보다 가늘고 부드러운 미세모를 사용하는 것이 좋습니다.

양치할 때 칫솔을 치아 좌우로 강하게 문지르는 것은 치아를 결 방향과 직각으로 톱질하는 것과 마찬가지 입니다.

치아 결은 위에서 아래로 세로 방향으로 나있습니다. 양치질은 치아 결을 거스르지 말고 치아 결을 따라서 칫솔모가 지나가도록 닦는 것이 좋습니다.

GI는 치아색과 약간 다르고, 레진에 비해서는 잘 떨어져 치경부 마모증은 주로 레진으로 치료합니다.

이갈이, 이를 악무는 습관, 부정교합, 잘못된 양치 방법 등 치경부 마모증의 원인을 고치지 않으면 레진으로 치료한 부위가 다시 떨어질 가능성이 높습니다.

이런 이유로 치경부 레진 치료는 대부분 품질 보증을 잘 하지 않지만 목동나무치과는 치경부 레진 치료도 1년간 품질을 보증합니다.

6개월에 한 번씩 정기 검진을 하고 치경부 마모증의 원인이 이갈기나 이 악물기 등 구강 악습관인 경우에는 지속적인 치료와 관리는 필수입니다.

이갈기나 이악물기는 수면 중에 나타나는 경우가 많으므로 노력한다고 잘 고쳐지지 않습니다. 오래 지속되면 턱관절 관련 질환으로 발전합니다.

이갈기나 이악물기는 치과에서 치료할 수 있습니다. 보톡스를 사용하여 신경과 근육의 신호 전달을 차단하거나 개인맞춤형 이갈이 방지 장치를 사용하여 턱 근육의 이완을 돕고, 치아와 턱관절을 보호합니다.

목동나무치과는 턱관절 질환으로 인한 고통을 완화하기 위해서 턱관절 물리 치료를 하고 있습니다. 건강보험이 적용되므로 비교적 저렴하게 받을 수 있습니다.

인접면: 치아와 치아 사이

치아와 치아 사이는 칫솔모가 완벽하게 닿기 어려운 사각지대입니다. 이곳에 음식물 찌꺼기가 남아 치태가 형성되면, 세균이 산을 배출하여 치아 옆면을 부식시키며 충치가 시작됩니다.

인접면 충치는 육안으로 발견하기 어렵고, 진행 속도가 빨라 치과에서도 특히 주의를 기울이는 충치입니다. 씹는 면의 충치는 거울로 까만 점을 볼 수 있지만, 인접면 충치는 치아 속으로 파고들기 전까지는 멀쩡해 보일 수 있습니다. 그래서 치아 내부가 검게 비쳐 보이거나 구멍이 뚫린 후에야 발견되는 경우가 많습니다.

치아의 옆면은 씹는 면에 비해 단단한 법랑질이 얇습니다. 따라서 충치가 시작되면 신경까지 도달하는 속도가 훨씬 빨라 신경치료로 이어질 확률이 높습니다.

또한, 인접면은 두 치아가 맞닿아 있기 때문에, 한쪽에 충치가 생기면 옆에 있는 치아까지 같이 썩어 두 개의 치아를 동시에 치료해야 하는 경우가 많습니다.

다음은 치아와 치아 사이에 충치가 발생하여 많이 진행된 경우의 매크로 렌즈 카메라 사진입니다.

치아와 치아 사이에 발생한 충치
치아와 치아 사이에 발생한 충치

충치가 치아와 치아 사이에 발생한 초기이거나 옆에서 치아를 파고 든 경우에는 육안으로 확인이 어렵습니다.

이런 경우 구강 카메라포터블 엑스레이를 사용하면 겨우 확인이 가능합니다. 구강 카메라로 찍으니 옆면에 까만 것이 보입니다. 엑스레이상에서 치아 옆면에 까만 그림자로 진단할 수도 있습니다.

구강 카메라와 포터블 엑스레이 사진
구강 카메라와 포터블 엑스레이 사진

인접면에 충치가 생기면 찬물이나 단 음식을 먹을 때 찌릿한 통증이 느껴집니다. 충치로 인해서 치아 표면이 거칠어졌기 때문에 치실을 사용할 때 실이 자꾸 걸리거나 찢어집니다. 또한 입 냄새가 나거나 치아 사이에서 피가 나는 경우도 있습니다.

인접면 충치는 칫솔질만으로는 100% 예방이 불가능합니다. 하루 1회 이상 치실 사용이 필수입니다. 치간 칫솔도 좋지만 좁은 틈새에는 치실이 가장 효과적입니다.

지금까지 충치 발생 요인 4가지, 세균, 음식물, 시간, 치아에 대해서 살펴봤습니다. 다음은 충치 발생 요인을 나타내는 키스 다이어그램입니다.

충치 발생 요인을 나타내는 키스 다이어그램(Keyes Diagram)
충치 발생 요인을 나타내는 키스 다이어그램(Keyes Diagram)

치아가 없다면 충치도 없습니다.

실제로 프랑스 태양왕 루이 14세는 '치아는 모든 질병의 근원이며, 썩지 않은 치아도 몸에 해를 끼칠 수 있다’는 주치의의 뜻에 따라서 모든 치아를 뽑았습니다. 마취 기술이 나오기 전이라서 이 과정에서 아래턱이 금 가고 입천장 뼈의 일부가 치아와 함께 뜯겨 나가는 사고가 발생했습니다.

치아를 모두 뽑은 후 루이 14세는 음식을 죽처럼 만들거나 통째로 삼켜야 했고, 이는 만성 소화불량과 위장병으로 이어졌습니다. 그리고, 입천장에 구멍이 뚫려 물을 마시면 코로 물이 나오는 등 평생 고통받았습니다.

치아가 없으면 충치는 없겠지만, 전신 건강이 무너집니다. 씹는 것은 인생의 즐거움입니다. 그리고, 소화 기능은 치아에서 시작됩니다. 목동나무치과는 무분별한 발치 대신, 소중한 자연 치아를 최대한 살리는 보존 치료를 최우선으로 합니다.

입 속에는 수백 종의 세균이 공생하고 있습니다. 대다수는 특별한 병원성을 띠지않는 상재균(常在菌)​입니다.

상재균은 말 그대로 항상(常) 있는(在) 균입니다. 상재균은 침입한 병원성 미생물의 번식을 억제하고 발병을 방지하는 효과가 있습니다.

입 속의 세균 균형이 무너지면 세균 대신 곰팡이균이 과도하게 번식하여 아구창 같은 구내염이 생기거나 전신 건강에 악영향을 끼칩니다. 그래서 헥사메딘과 같은 살균제를 장기간 사용하여 충치 세균을 모두 죽일 수 없습니다.

충치를 유발하는 음식물은 당분을 포함한 탄수화물입니다. 우리 뇌는 활동하는 데 막대한 에너지를 쓰는데 주된 에너지원이 탄수화물을 분해한 포도당입니다.

몸에 탄수화물이 부족하면, 우리 몸은 에너지를 만들기 위해 근육을 구성하는 단백질을 분해해서 씁니다. 탄수화물을 섭취하면 행복 호르몬이라 불리는 세로토닌 분비가 촉진됩니다. 지방이 에너지로 완전히 연소될 때도 독소가 없게 하려면 탄수화물이 필요합니다.

우리 몸을 움직이는 필수 에너지원인 탄수화물을 충치를 막기 위해서 먹지 않을 수 없습니다.

설탕, 과자 등 혈당을 급격히 올리고 지방으로 빨리 쌓이는 단순당 대신에 잡곡밥, 통밀, 고구마, 채소, 과일 등 에너지를 서서히 공급하고 식이섬유가 풍부한 복합당 위주로 먹는 것이 좋습니다.

치아, 세균, 음식물, 시간 중에 하나라도 없으면 충치가 생기지 않습니다. 치아나 세균을 없앨 수 없고, 탄수화물이 포함된 음식을 먹지 않을 수 없습니다. 결국 우리가 조절할 수 있는 것은 시간 뿐입니다. 충치 세균과 탄수화물이 서로 만나는 시간을 줄여주면 충치를 예방할 수 있습니다. 바로 양치질입니다!

5. 양치 잘하는 방법

오늘날 양치는 기를 양(養), 이 치(齒)를 사용하여 치아를 튼튼하게 기른다는 뜻으로 사용되지만, 원래 양치는 버드나무 가지를 뜻하는 양지(楊枝)가 어원으로, 버드나무 가지로 이를 닦던 것에서 유래했습니다.

양치를 잘해야 하는 이유에는 치아만 있는 것이 아닙니다. 입속 세균은 입안에만 머물지 않습니다. 잇몸의 혈관을 타고 온몸으로 퍼져 심각한 질환을 유발하거나 악화시킬 수 있습니다. 구강 내 세균이 혈관을 타고 들어가 혈전을 만들거나 동맥경화를 유발할 수 있습니다.

잇몸병이 심하면 혈당 조절이 어려워지고, 당뇨가 있으면 잇몸병이 잘 생기는 악순환이 반복됩니다. 특히 어르신들의 경우, 입안의 세균이 기도로 넘어가 폐렴을 일으키는 주된 원인이 됩니다.

입 냄새의 90% 이상은 구강 내 문제입니다. 혀의 백태, 치아 사이의 음식물, 잇몸 염증에서 발생하는 가스가 악취를 유발합니다. 깨끗한 양치질은 구취를 없애 타인과의 대화에서 자신감을 줍니다.

양치만 잘 하면 충치를 예방할 수 있습니다. 양치질을 잘못하면 치경부 마모증과 같은 치아 패임이 생길 수 있습니다. 그럼 양치질을 잘하는 방법을 자세히 설명하겠습니다.

치아와 잇몸 사이를 닦습니다

양치는 치아를 닦는 것이 아닙니다. 치아와 잇몸 사이, 치아와 치아 사이를 닦는 것입니다.

다음과 같이 칫솔모를 45도로 기울여 치아와 잇몸 사이에 밀착합니다. 칫솔모의 일부가 잇몸 안쪽으로 살짝 들어가는 것이 좋습니다. 손목을 돌려 칫솔모를 치아 끝 방향으로 둥글게 쓸어내립니다.

윗니는 위에서 아래로, 아랫니는 아래에서 위로 움직입니다. 힘을 주어 박박 밀거나 칫솔을 앞뒤로 움직여 닦으면 치아 마모의 원인이 됩니다.

칫솔을 45도로 기울여 치아와 잇몸 사이에 칫솔을 넣고 아래로 회전하면서 닦습니다.
칫솔을 45도로 기울여 치아와 잇몸 사이에 칫솔을 넣고 아래로 회전하면서 닦습니다.

아동의 경우 치아와 잇몸 사이에 칫솔모를 45도 각도로 기울여서 회전하면서 양치하라고 가르치기 힘듭니다.

이런 경우 그냥 잇몸을 닦으라고 하시기 바랍니다. 잇몸을 닦다보면 치아도 같이 닦입니다. 윗니는 윗 잇몸을 위에서 아래로, 아랫니는 아래 잇몸을 아래에서 위로 닦다보면 치아도 닦입니다.

양치는 치아가 아니라 잇몸을 닦는 것이며, 칫솔은 가로가 아니라 세로로 움직인다는 것만 가르치면 됩니다.

치아의 결 방향으로 닦습니다

빗살무늬 토기를 닦는다고 한번 생각해봅시다. 빗살의 결 방향을 따라서 세로로 닦아야 틈 사이가 깨끗해집니다. 치아도 마찬가지 입니다.

우리 치아는 세로로 나란히 서 있고, 치아와 치아 사이에는 미세한 틈이 있습니다. 옆으로 문지르면 칫솔모가 이 틈새를 건너뛰게 되어 음식물 찌꺼기가 그대로 남습니다.

결대로 쓸어내려야 칫솔모가 틈새 깊숙이 들어가 치태를 밖으로 배출시킬 수 있습니다.

치아 결 방향에 직각으로 가로로 닦으면 치아 건강에 독이 됩니다. 치아와 잇몸이 만나는 경계 부위는 치아 구조 중 가장 약한 부분입니다.

치경부를 가로 방향으로 계속 문지르는 것은 마치 나무를 톱질하는 것과 같아서 치아가 패이는 치경부마모증이 생기고 치아 내부 신경과 가까워져 찬물을 마실 때 찌릿한 시린 증상을 유발합니다.

잇몸에서부터 치아 쪽으로 둥글게 쓸어내리는 동작은 잇몸을 부드럽게 마사지하여 혈액순환을 돕고 잇몸을 더 탄탄하게 만들어줍니다.

치아 결 방향으로 칫솔을 회전하거나 위 아래로 움직여 닦습니다.
치아 결 방향으로 칫솔을 회전하거나 위 아래로 움직여 닦습니다.

칫솔이 옆으로 들어가지 않는 경우에는 칫솔을 세워서 앞뒤로 움직여 치아 결 방향으로 닦습니다. 이 때도 빡빡 문지르는 것이 아니라 부드럽게 솔질을 해줍니다.

옆으로 닦기 힘들면 치아를 세워서 치아 결을 따라서 앞뒤로 움직여 닦습니다.
옆으로 닦기 힘들면 치아를 세워서 치아 결을 따라서 앞뒤로 움직여 닦습니다.

취약 부위를 놓치지 마세요

양치할 때 어금니와 앞니 안쪽을 빼먹는 경우가 있습니다. 치아의 안쪽은 침샘이 있어 치석이 잘 생기므로 신경 써서 닦아야 합니다. 앞니 안쪽과 같이 칫솔이 잘 안들어가는 부분은 칫솔을 세워서 안쪽 깊숙이 넣고 하나씩 털어내듯 닦아줍니다.

치아 안쪽 면을 잘 닦아야 합니다.
치아 안쪽 면을 잘 닦아야 합니다.

어금니 위쪽은 칫솔을 치아 씹는 면에 수직으로 대고 앞뒤로 왕복하며 닦아 음식물 찌꺼기를 제거합니다.

어금니 윗면에 충치가 많이 생깁니다. 어금니 윗면도 꼭 양치하세요.
어금니 윗면에 충치가 많이 생깁니다. 어금니 윗면도 꼭 양치하세요.

맨 안쪽 사랑니와 어금니는 칫솔이 잘 닿지 않아서 양치할 때 빼먹는 경우가 많아서 충치가 잘 발생합니다. 맨 안쪽 치아는 360도 돌려가면서 꼼꼼하게 닦아줍니다.

순서를 정해서 양치하세요

치아는 모두 32개가 있습니다. 양치하다가 딴 생각을 하다가 빼먹을 가능성이 무척 높습니다.

다음은 치아의 이름과 번호를 정리한 것입니다. 이 그림은 얼굴 앞쪽에서 본 모습이라서 우측과 좌측이 바뀌어 있습니다.

치아 이름과 치아 숫자
치아 이름과 치아 숫자

위쪽 치아를 상악, 아래쪽 치아를 하악이라고 합니다. 각각 우측과 좌측에 8개씩, 총 32개의 치아가 있습니다. 사랑니, 큰어금니, 작은 어금니는 절구 구를 사용하여 구치부라고 하고, 송곳니, 앞니는 앞 전을 사용하여 전치부라고 합니다.

양치를 할 때는 상악 우측부터 반 시계 방향으로 앞니부터 어금니 방향으로 닦습니다.

이렇게 상악 우측, 상악 좌측, 하악 좌측, 하악 우측 순서로 닦으면, 11~18, 21~28, 31~38, 41~48번 순서로 닦게 됩니다.

먼저 치아 앞면을 닦고, 다음으로 치아 뒷면, 어금니 윗면, 맨 안쪽 어금니 순서로 닦습니다.

이렇게 닦으면 48x2 + 6x4 + 4번으로 치아를 124번 닦습니다. ​맨 마지막에 칫솔로 혀를 닦으면 입냄새를 예방하는 데 도움이 됩니다.

양치질을 할 때 핸드폰을 하거나 딴 생각을 하면 안됩니다. 빼먹는 치아나 부위가 없도록 순서를 생각하면서 닦습니다. 상악 우측부터 반시계 방향으로, 앞면/뒷면/윗면/가장안쪽이라는 순서를 기억하세요.

칫솔은 가로로 잡고 잇몸에서부터 상악은 아래로, 하악은 위로 움직이는 것이 기본입니다. 전치부 안쪽은 칫솔을 세운 후에 앞 뒤로 치아 결 방향으로 부드럽게 닦습니다. 어금니 윗면도 잊지 않고 닦고, 맨 안쪽 어금니는 360도로 돌려가면서 닦습니다.

칫솔은 작고 부드러운 것이 좋습니다

칫솔 머리가 어금니 안 쪽까지 들어가야 합니다. 칫솔 머리는 너무 크면 안 됩니다. 본인의 치아 2~3개 정도를 덮는 크기가 가장 적당합니다.

머리가 너무 크면 입안 깊숙한 어금니 안쪽이나 좁은 공간에 칫솔이 닿지 않아 사각지대가 생깁니다. 구역질이 잘 나는 분이라면 머리가 작은 칫솔을 쓰는 것이 훨씬 편안합니다.

칫솔모는 가늘고 부드러운 것이 좋습니다. 가늘어야 치아 사이에 잘 들어가고 너무 강하면 치아를 마모시킬 수 있어 주의가 필요합니다. 칫솔모의 끝이 날카롭지 않고 둥글게 가공되어 있으면 양치로 인한 잇몸 상처를 예방할 수 있습니다.

아무리 비싸고 좋은 칫솔이라도 칫솔모가 벌어지면 수명을 다한 것입니다. 벌어진 칫솔모는 탄력이 떨어져 치태 제거 능력이 현저히 줄어들고, 오히려 잇몸을 찌르거나 상처를 낼 수 있습니다.

3개월에 한 번, 혹은 뒤에서 봤을 때 칫솔모가 삐져나와 보인다면 과감히 교체해주세요. 칫솔을 자주 바꿔주는 것이 치과 치료비를 아끼는 지름길입니다.

물 묻히지 말고, 치약은 완두콩 크기 만큼

치약은 칫솔모 전체를 덮을 필요 없이, 칫솔모의 ⅓ 정도를 덮는 완두콩 크기 정도면 충분합니다. 치약을 칫솔모 안쪽까지 스며들도록 꾹 눌러짜는 것이 핵심입니다.

치약을 많이 짜면 거품이 순식간에 입안 가득 찹니다. 이 풍성한 거품 때문에 이미 충분히 닦았다고 뇌가 착각하게 되어, 구석구석 꼼꼼히 닦기도 전에 양치를 끝내게 됩니다.

치약을 적게 쓰면 거품이 적어 치아 구석구석을 칫솔모가 닿는 느낌을 정확히 받으며 더 오래, 꼼꼼하게 닦게 됩니다.

치약에는 치아 표면의 때를 벗겨내는 알갱이 성분인 연마제가 들어있습니다. 적당량은 치석 제거에 도움을 주지만, 과도한 양의 연마제는 치아 표면을 깎아내려 이 시림 증상을 유발하거나 치아를 약하게 만듭니다. 연마제 때문에 틀니는 치약이 아니라 주방세제로 닦아야 합니다.

치약의 거품을 만드는 계면활성제 성분은 입안을 마르게 합니다. 치약을 너무 많이 쓰고 제대로 헹구지 않으면, 남은 계면활성제가 입안 수분을 빼앗아 구강 건조증을 유발합니다. 입이 마르면 세균 번식이 쉬워져 오히려 입 냄새가 더 심해지는 악순환이 생깁니다.

칫솔에 물을 묻히면 치약의 연마제가 물에 희석되어 농도가 옅어집니다. 이렇게 되면 치아 표면을 닦아주는 마찰력이 줄어들어, 치태를 제거하는 능력이 현저히 떨어집니다.

치약에 물이 닿으면 계면활성제가 반응해 순식간에 거품이 풍성하게 발생합니다. 치약을 많이 쓴 경우와 마찬가지로 풍성한 거품 때문에 이미 충분히 닦았다고 뇌가 착각하게 되어, 구석구석 꼼꼼히 닦기도 전에 양치를 끝내게 됩니다.

치약에는 충치를 예방하는 불소나 잇몸 염증을 완화하는 성분들이 들어 있습니다. 물을 묻히면 이 유효 성분들이 치아와 잇몸에 직접 닿기도 전에 물과 함께 흘러내리거나 희석되어 효과가 반감됩니다.

치아가 너무 심하게 마모되었거나 시린 증상이 심한 분, 또는 구강건조증이 너무 심한 분들의 경우, 치과 의사의 처방에 따라 자극을 줄이기 위해 물을 살짝 묻히거나 거품이 적은 치약을 사용하기도 합니다.

치과에서 특별한 언급이 없다면 일반적으로 마른 칫솔에 칫솔모 안쪽까지 치약이 스며들도록 완두콩 크기만큼 꾹 눌러 짠 뒤 바로 닦는 것이 가장 좋습니다.

자기 전 양치는 꼭 합니다

양치질은 하루 4번, 아침, 점심, 저녁 식사 후, 자기 직전에 하는 것이 좋습니다. 아침을 먹는다면 식사 후에 닦는 것이 정석입니다. 밤새 생긴 플라크와 아침 식사 찌꺼기를 함께 제거할 수 있기 때문입니다.

아침을 안 먹거나 입 냄새가 심하다면 일어나자마자 가볍게 닦거나 물로 헹구는 것이 좋습니다. 밤새 쌓인 세균을 삼키지 않기 위함입니다.

일반적으로 식사 후에는 입안 세균이 당분을 분해하며 산(Acid)을 만들기 시작하므로, 식사후에 가급적 빨리 닦는 것이 좋습니다. 탄산음료, 커피, 맥주, 오렌지, 레몬, 냉면, 이온 음료 등 산성이 강한 음식을 먹었을 때는 물로 입을 헹구고 30분 뒤에 양치하는 것이 좋습니다.

자는 동안에는 입안의 세균을 씻어내고 산성을 중화시키는 침 분비량이 급격히 줄어듭니다. 이 상태에서 치아에 음식물이 남아있으면 밤새 충치균이 폭발적으로 번식하게 됩니다.

점심 식사 후 양치가 어렵다면 물로 헹구는 것으로 대신할 수 있지만 자기 전 양치는 빼먹으면 안됩니다. 하루 중 딱 한 번만 양치를 해야 한다면, 잠들기 전입니다.

칫솔은 깨끗하게 씻습니다

사용한 칫솔에는 치태가 묻어 있습니다. 칫솔질 후 잔여물을 제거하기 위해서 여러 번 깨끗이 헹군 후 세워서 자연 건조 해야합니다. 대충 씻으면 칫솔에서 세균이 번식하여 치아로 퍼질 수 있습니다.

치태가 묻은 사용한 칫솔모 (출처: SPL / Barcroft Media)
치태가 묻은 사용한 칫솔모 (출처: SPL / Barcroft Media)

치아 사이는 치실을 사용하세요

치아와 치아 사이 인접면은 칫솔모가 잘 들어가지 않습니다. 치아 사이의 치태를 모두 없애려면 치실을 사용해야 합니다. 치실은 단순히 음식물을 빼는 도구가 아니라 치아 옆면을 닦는 특별한 얇은 칫솔입니다.

치실 사용법은 다음과 같습니다.

치실 사용 방법. 치실도 치아 결을 따라서 위 아래로 움직여야 합니다.
치실 사용 방법. 치실도 치아 결을 따라서 위 아래로 움직여야 합니다.
  1. 치실을 약 30~40cm (성인 팔뚝 길이 정도) 길이로 끊어줍니다. 너무 짧으면 미끄러져서 잡기 힘듭니다. 양손의 중지에 치실을 가볍게 감아줍니다. 한쪽 중지에는 많이 감고, 반대쪽은 조금만 감아서, 사용한 더러운 부분을 감아들일 여유를 둡니다.

  2. 양손의 엄지와 검지를 이용해 치실을 팽팽하게 잡습니다. 이때 손가락 사이의 치실 길이는 3~4cm 정도가 가장 적당합니다.

  3. 치실을 치아 사이로 '탁!' 하고 세게 밀어 넣으면 잇몸이 다칠 수 있습니다. 톱질을 하듯 앞뒤로 살살 움직이면서 부드럽게 치아 사이의 접촉점을 통과시켜 잇몸선까지 내립니다. 치실이 잇몸 경계까지 들어갔다면, 치실로 치아를 감싸듯이 C자 형태로 만듭니다. 치아의 옆면 곡선을 따라 둥글게 감싸는 것이 핵심입니다.

  4. C자로 감싼 상태에서 치아 뿌리가 있는 잇몸 안쪽 살짝 깊은 곳에서부터 씹는 면 쪽으로 3~4회 정도 위아래로 쓸어 올립니다. 치아 사이에는 두 개의 치아 면이 마주 보고 있습니다. 한쪽 면을 닦았다면, 반대쪽 치아 면도 똑같이 C자를 만들어 닦아줍니다.

  5. 한 곳을 다 닦았다면, 치실을 빼냅니다. 중지에 감아둔 치실을 살짝 풀고 감으면서 깨끗한 새 구간으로 옆 치아 사이를 닦아줍니다. 세균을 다른 치아로 옮기지 않기 위함입니다.

치실을 처음 사용하면 피가 날 수 있습니다. 피가 나는 것은 잇몸에 염증이 있다는 증거입니다. 치태가 쌓여 잇몸이 부어 건드리기만 해도 피가 나는 것이죠. 피가 난다고 중단하지 마시고, 해당 부위를 부드럽게 계속 관리해주시면 1~2주 내에 염증이 가라앉고 피도 멈추게 됩니다.

통증이 심하면 치과로 가서 잇몸 치료를 받는 것이 좋습니다. 국민건강보험에서 잇몸치료 수가를 낮게 책정하고 있고, 낮은 수가의 30%가 본인부담금이라서 저렴하게 잇몸치료할 수 있습니다.

치실을 사용한다고 해서 치아 사이가 벌어지는 것이 아닙니다. 치아 사이가 벌어지는 느낌이 드는 것은 치실 때문이 아니라, 잇몸 염증으로 부어있던 잇몸이 가라앉으면서 빈 공간이 드러나는 것입니다. 치실은 치아 틈을 넓힐 만큼 굵지 않습니다.

치실은 매 식사 후 하는 것이 가장 좋지만, 힘들다면 잠들기 전 1회는 필수입니다. 치실을 먼저 사용해 치아 사이 공간을 확보한 뒤 양치질을 하면 불소 성분이 치아 사이로 더 잘 스며드는 효과가 있습니다. 자기 전에, 양치 후에 꼭 치실 하세요.

치간 칫솔과 손잡이 치실도 있어요

치실이 가장 좋지만 치실 사용이 힘들면 대안으로 치간 칫솔과 손잡이 치실도 있습니다.

치간 칫솔은 이쑤시개 대용이 아닙니다. 이쑤시개는 잇몸을 찌르고 치아 사이를 넓히는 주범입니다. 이쑤시개는 언제나 사용하지 않는 것이 좋습니다. 치간 칫솔은 이쑤시개가 아니라 치아 사이를 닦는 작은 칫솔입니다.

치간 칫솔은 치아 사이에 넣었을 때 저항감 없이 부드럽게 들어가되, 약간 꽉 차는 느낌이 드는 크기를 고릅니다. 처음 사용하신다면 가장 얇은 SSS(0.7mm 이하) 크기부터 시작해서 점차 본인에게 맞는 굵기를 찾아가세요. 그리고, 치아 부위에 따라서 굵기가 다른 치간 칫솔을 사용하는 것이 좋습니다.

치간 칫솔과 손잡이 치실. 용도에 따른 구분.
치간 칫솔과 손잡이 치실. 용도에 따른 구분.

치간 칫솔을 치아와 치아 사이에 수직(직각)이 되도록 조심스럽게 밀어 넣습니다. 잇몸 쪽이 아니라 치아의 옆면을 닦는다는 느낌으로 앞뒤로 3~4회 정도 왕복 운동을 합니다. 잘 들어가지 않는 좁은 틈새에 억지로 밀어 넣지 마세요. 그곳은 치실을 써야 할 자리입니다.

입 안쪽 깊숙한 어금니는 일자로 넣기 힘듭니다. 이때는 철사 부분을 손가락으로 살짝 구부리면 훨씬 수월하게 닦을 수 있습니다.

치간 칫솔은 1회용이 아닙니다. 사용 후 흐르는 물에 깨끗이 씻어 건조한 뒤, 칫솔모가 닳거나 철사가 휘어지면 교체합니다. 보통 1~2주 정도 사용합니다.

손가락에 치실을 감는 것이 어렵거나, 입이 작아 손을 넣기 힘든 분들은 손잡이 치실(Floss Pick)이 있습니다.

F형(일반형)은 앞니 사용에 편리합니다. 어금니에 쓸 때는 볼을 많이 당겨야 해서 다소 불편할 수 있습니다. Y형은 손을 깊숙이 넣지 않아도 어금니 사이를 쉽게 닦을 수 있습니다.

손잡이를 잡고 치실 부분을 치아 사이에 댑니다. 한 번에 끼워 넣지 말고, 슬금슬금 톱질하듯 좌우로 움직이며 부드럽게 잇몸선까지 내립니다. 실이 들어갔다면 치아 쪽으로 힘을 주어 실을 밀착시킵니다. 잇몸 안쪽에서부터 치아 씹는 면 쪽으로 위아래로 튕기듯 쓸어 올립니다.

단순히 음식물만 빼내는 게 아니라, 치아 옆면에 붙은 치태를 긁어낸다는 느낌으로 닦아야 합니다. 한 번 닦고 나면 실에 이물질이 묻습니다. 물로 헹구거나 휴지로 닦아낸 후 다른 치아로 이동해야 세균 감염을 막을 수 있습니다.

치실이 기본입니다. 치실 사용이 힘든 경우 손잡이 치실을 사용합니다. 잇몸이 내려가 공간이 생겼거나, 치아 교정 장치, 브릿지, 임플란트 부위, 그리고 덧니가 있거나 치열이 고르지 않는 경우에는 치간 칫솔을 사용하는 것이 좋습니다.

치간 칫솔과 손잡이 치실은 들어가지 않는데 억지로 쑤셔 넣으면 안 됩니다! 잇몸이 건강하여 치아 사이 틈이 거의 없는 젊은 분들이나 빽빽한 치아 부위에는 치실을 쓰는 것이 정답입니다.

치간 칫솔은 저항감 없이 부드럽게 들어가는 곳에만 사용하고, 억지로 넣다가 잇몸을 찌르거나 치아를 벌어지게 하지 않도록 주의하세요.

구강세정기도 좋습니다

워터픽, 아쿠아픽 등 구강세정기는 칫솔이 닿지 않는 치아 사이와 잇몸을 고압의 물줄기로 씻어내는 기구입니다. 구강세정기로 치실을 대신할 순 없지만 양치의 마지막으로 구강세정기를 사용하면 치약의 계면활성제 성분과 남은 부유물을 씻어낼 수 있어 좋습니다.

구강세정기를 실제로 처음 사용해보면 상쾌함으로 만족도가 무척 높습니다. 교정 환자, 임플란트 시술자, 잇몸이 약한 분들에게 매우 효과적입니다. 입냄새가 있는 경우에도 좋습니다.

일반적인 구강세정기와 휴대용 구강세정기
일반적인 구강세정기와 휴대용 구강세정기
  • 물통에 물을 채웁니다. 찬물은 이가 시릴 수 있으므로 미지근한 물을 사용하는 것이 가장 좋습니다.처음 사용한다면 반드시 가장 약한 단계(Low)에서 시작하세요. 익숙해지면 조금씩 높여야 잇몸 손상을 막을 수 있습니다.

  • 입안에 넣기 전에는 켜지 마세요. 사방으로 물이 튑니다. 상체를 세면대 쪽으로 숙입니다. 구강세정기 팁(tip)을 입안에 넣은 뒤 이제 전원을 켭니다.

  • 팁 끝을 치아와 잇몸 경계선에 90도(수직)가 되도록 조준합니다. 잇몸선(치아와 잇몸이 만나는 선)을 따라 천천히 이동합니다. 치아와 치아 사이 공간에서는 잠시(약 2~3초) 멈추어 물줄기가 사이를 통과하게 합니다.

  • 양치 순서와 마찬가지로 상악 우측부터 반시계 방향으로, 치아 앞면과 뒷면을 모두 세정합니다.

  • 사용 후 물통의 물은 모두 비우고 건조해야 세균 번식을 막을 수 있습니다.

구강 세정기가 치실을 완전히 대체할 수는 없습니다. 치아끼리 꽉 맞닿은 면의 세균막은 치실의 마찰력으로 제거해야 합니다. 구강 세정기는 마무리 헹굼 및 잇몸 마사지 역할로 이해하는 것이 좋습니다.

잇몸 염증이 있는 경우 초기에 피가 날 수 있습니다. 이는 나쁜 피와 염증이 빠지는 과정일 수 있으나, 출혈이 지속되거나 통증이 심하면 수압이 너무 세거나 잇몸 질환이 심한 것이니 치과를 방문해야 합니다.