처음 / 진료 / 심미 치료 /

치아미백. 완전정복!

목동나무치과에서는 치아 건강과 치과 진료 관련한 아주 상세하지만 쉬운 글을 완전정복이라는 이름으로 시리즈로 작성하고 있습니다. 두번째 글은 '치아 미백의 모든 것. 완전정복!' 입니다. 내용을 요약하면 다음과 같습니다.

치아 미백은 음식, 음료, 흡연, 노화 등으로 인해 변색된 치아를 화학적 반응을 통해 본래의 색보다 밝고 자연스럽게 회복시키는 심미 치료입니다. 현대 사회에서 치아 색은 개인의 인상을 좌우하는 중요한 요소이며, 미백 치료는 심미적 만족감과 자신감 회복에 효과적입니다.

  • 단순히 치아 표면의 이물질을 제거하는 스케일링과 달리, 치아 미백은 미백 성분인 과산화수소가 치아 내부로 침투하여 착색된 색소 분자를 직접 분해하는 원리로 진행됩니다.

  • 치과에서 진행하는 전문가 미백은 일반 자가 미백제(최대 3% 농도)보다 5배 높은 최대 15% 고농도 미백제를 사용합니다. 이로 인해 미백 효과가 훨씬 뛰어납니다.

  • 고농도 미백제가 잇몸이나 입술에 닿으면 위험할 수 있기에, 치과에서는 입벌리개(개구기)를 사용하여 치아와 입술, 볼을 격리하고 잇몸 보호제를 도포하는 등 안전한 절차를 준수하여 부작용을 최소화합니다.

  • 목동나무치과는 치아 미백제로 허가받은 오스템 뷰티스15를 사용합니다. 치아 시림 증상을 완화하기 위해서 질산칼륨과 불소 성분을 함유하고 있으며, 광조사기인 뷰티스 라이트로 블루 LED를 비춰서 광촉매를 활성화함으로써 미백 효과를 극대화합니다.

1. 치아 변색 원인

치아 색이 변하는 것은 단순히 양치질 문제만이 아닙니다. 치아 변색 원인은 외부적 요인과 내부적인 요인으로 나눕니다.

치아 변색 외부 요인

육안으로 보기에 치아는 매끄럽고 단단한 도자기처럼 보이지만, 현미경으로 들여다보면 전혀 다른 모습입니다. 치아의 맨 바깥인 법랑질은 수많은 법랑 기둥(Enamel Rods, 법랑 소주)으로 되어 있고, 이 기둥들 사이에는 눈에 보이지 않는 미세한 구멍(미세 공극)들이 무수히 존재합니다. 마치 현무암이나 스펀지처럼 미세한 틈이 있는 구조입니다.

치아 단면. 노란색은 치아 표면, 파란색은 법랑질, 빨간색은 상아질. 법랑질에는 미세 공극이 있고, 상아질에는 치수와 연결되는 상아세관이
                        있습니다.
                        (출처: SPL / Barcroft
                        Media)
치아 단면. 노란색은 치아 표면, 파란색은 법랑질, 빨간색은 상아질. 법랑질에는 미세 공극이 있고, 상아질에는 치수와 연결되는 상아세관이 있습니다. (출처: SPL / Barcroft Media)

양치질 후 몇 분만 지나도 침속의 당단백질 성분이 치아 표면에 획득 피막을 형성하는데, 이 막은 치아를 보호하는 역할도 하지만, 동시에 색소 분자가 달라붙기 가장 좋은 접착제 역할을 하기도 합니다.

  • 커피, 차, 와인 등 식물성 음식에는 폴리페놀(Polyphenol)이라는 항산화 물질이 풍부합니다. 폴리페놀 중 탄닌(Tannin)은 떫은맛을 내는 성분으로 단백질과 결합하려는 성질이 매우 강합니다. 입안에 들어온 탄닌은 치아 표면을 감싸고 있는 획득 피막과 즉각적으로 결합합니다.

    음식물 속 미세한 색소 분자들은 법랑질 표면의 미세 공극 깊숙한 곳으로 스며듭니다. 침투한 색소 분자들, 특히 탄닌은 치아 표면의 단백질과 화학적으로 단단히 결합합니다. 이는 단순한 물리적 부착보다 훨씬 강력하여 물로 헹구는 것만으로는 떨어지지 않습니다.

    이러한 결합이 반복되면 공극 내부에 색소가 층층이 쌓이게 됩니다. 처음에는 옅은 노란색이다가 시간이 지날수록 갈색, 흑갈색으로 색이 짙어지고 어두워집니다.

  • 담배 연기에 포함된 니코틴(Nicotine)타르(Tar)는 치아 변색의 가장 강력한 원인 중 하나입니다. 니코틴은 본래 무색이나 산소와 결합하여 황색으로 변하며, 타르는 흑갈색의 끈적한 침착물을 형성하여 법랑질 표면에 강하게 고착됩니다. 이는 단순 칫솔질로는 제거가 불가능하며 물리적 스케일링과 화학적 미백을 같이 해야 없앨 수 있습니다.

  • 치태와 치석이 있으면 착색이 더 잘 됩니다. 치태와 치석은 거친 표면을 제공하여 색소의 부착을 가속화합니다. 스케일링을 통해서 치석을 제거하면 1차적인 톤업 효과를 볼 수 있습니다. 하지만 치아 자체에 스며든 색소를 제거하려면 화학적 미백을 받아야 합니다.

음식물, 담배, 헥사메딘 등 외부 요인으로 인한 착색은 치아의 가장 바깥층인 법랑질 표면과 그 바로 아래 미세 공극에 집중되어 있고 치아 자체의 구조가 바뀐 것이 아니라, 외부 유기 화합물이 침투한 것입니다.

치아 미백 시 미백제가 바로 도착하는 곳으로 미백 효과가 큽니다. 커피의 탄닌이나 담배의 타르 성분은 유기 화합물로서 산소와 반응했을 때 분해되기 쉬운 구조를 가지고 있습니다.

미백제에서 발생한 프리 라디칼(활성 산소)은 이러한 외부 색소 분자의 복잡한 탄소 고리를 공격하여 투명하고 작은 분자로 쪼개버립니다. 원래 치아 조직을 건드리는 것이 아니라 이물질을 제거하는 것이기 때문에 효과가 뚜렷합니다.

미백 치료는 법랑질의 미세 공극에 산소 방울을 밀어넣어 꽉 들어찬 착색물질을 밖으로 배출시키는 화학적 딥 클렌징 역할을 합니다. 구멍 속에 차 있던 어두운 색소들이 빠져나가고 깨끗한 산소 공간이 생기면, 치아 표면에서 빛이 더 고르게 반사됩니다.

착색이 잘 되는 음식물

점성이 높고 진한 색의 음식물은 치아를 변색시킵니다. 이런 음식물로 커피, 홍차, 콜라, 카레, 짜장면, 김치, 블루베리, 토마토 스파게티 등을 꼽습니다.

'한국인 선호 음식물에 대한 치아 착색 지수 개발(안효광, 2015)'에 따르면 블랙티, 초콜릿, 커피, 김치찌개, 라면, 간장이 치아 착색이 잘됩니다.

음식물 평균 착색 지수
음식물 평균 착색 지수

논문에 따르면 레드 와인, 토마토 소스, 카레, 오렌지 주스, 콜라는 흔히 알려진 것보다는 착색 지수가 낮게 나왔습니다.

콜라 자체는 착색을 크게 유발하지 않지만 콜라 같은 산성 음료는 치아를 약하게 해서 착색이 일어나기 쉽도록 만듭니다.

블랙티, 초콜릿, 커피, 김치찌개, 라면이나 간장이 많이 들어간 음식물을 먹었거나 흡연을 한 경우에 가글이나 양치질을 하면 변색을 줄이는 데 도움이 되지만 이미 착색된 치아를 되돌리려면 화학적 미백이 필요합니다.

치아 변색 내부 원인

  • 인간의 치아는 나이가 듦에 따라 어두워지는 구조적 변화를 겪습니다. 반투명한 법랑질은 오랜 저작 활동으로 마모되어 얇아지는 반면, 내부의 상아질은 지속적인 형성으로 인해 두꺼워지고 색조가 짙은 황갈색으로 변합니다.

    나이가 들면 얇아진 법랑질을 통해 짙어진 상아질의 색상이 투영되면서 치아는 전체적으로 어둡고 누런색을 띠게 됩니다.

  • 넘어지거나 부딪혀서 치아에 충격이 가해졌을 때, 혹은 충치가 깊어져 신경이 죽었을 때 치아 변색이 생깁니다. 특정 치아 하나만 색이 변하기도 합니다.

    치아 내부의 신경과 혈관 조직이 손상을 입어 출혈이 발생하고 적혈구 속의 헤모글로빈이 파괴되면서 철(Fe) 성분이 분리되어, 황화수소와 결합하여 검은색의 황화철이 됩니다. 이 검은 입자들이 상아세관으로 스며들어 치아를 검은색, 회색, 혹은 붉은 기가 도는 어두운 색으로 변하게 만듭니다.

    Fe + H2S → FeS + H2

    오래 삶은 달걀을 까보면 노른자 주변이 검은 녹색으로 되어 있습니다. 노른자 속의 철과 흰자에 들어있는 황화수소가 결합하여 황화철이 된 것입니다.

    이와 비슷한 원리입니다. 치아에 나는 피를 방치하면 그 자체로도 문제지만 치아를 변색시킵니다. 혈액 속 철 성분이 황화철로 변해 치아를 어둡게 만듭니다.

    계란 노른자의 녹변을 막으려면 삶은 직후 바로 찬물에 담가두면 됩니다. 치아의 황화철을 막으려면 치아에 출혈이 있거나 외상을 입었을 때 바로 치과에 가서 치료를 받으면 변색을 최소화할 수 있습니다.

  • 테트라사이클린, 미노사이클린, 액상철분제와 같은 약물이나 불소의 과도한 섭취로 치아가 변색될 수 있습니다.

    테트라사이클린은 광범위 항생제로 임신부나 만 8세 미만 소아(태아기~소아기)가 복용하면 칼슘과 킬레이트 결합을 형성하여 치아 경조직 내에 영구적인 띠 모양의 짙은 변색을 남길 수 있습니다.

    여드름 치료에 많이 사용하는 미노사이클린도 테트라사이클린계 항생제로 장기간 사용하면 치아뿐만 아니라 잇몸뼈에도 침착되어 치아가 전반적으로 푸르스름하거나 회색빛을 띠게 만듭니다.

    여드름 치료를 위해서 미노사이클린 복용으로 약간 파랗게 변색된 치아 (출처: Lee Ann Brady DMD)
    여드름 치료를 위해서 미노사이클린 복용으로 약간 파랗게 변색된 치아 (출처: Lee Ann Brady DMD)

    최근에 나오는 헥사메딘은 무색소로 착색 위험이 줄었지만 헥사메딘에 포함된 클로르헥시딘 성분은 장기간 사용하면 치아와 혀, 보철물 주변에 진한 갈색으로 착색됩니다. 헥사메딘은 일주일 이상 사용하지 않는 것이 좋습니다.

    액상철분제도 치아 표면에 닿으면 타액의 단백질과 결합하여 검은색 얼룩이 생길 수 있습니다. 빨대를 사용하여 치아에 닿지 않게 복용하거나, 복용 직후 물로 입을 헹구면 예방할 수 있습니다.

    적당한 불소는 충치를 예방하지만, 치아 형성기의 소아가 불소를 과다 섭취하면 치아 표면에 하얀 반점이 생기거나 심하면 갈색 얼룩이 나타나는 불소증(반상치)이 생길 수 있습니다.

    아이가 치약을 삼키지 않도록 올바른 칫솔질 습관을 교육하고, 치약은 조금만 사용하고, 양치 후에는 반드시 입안을 헹구게 합니다. 만 8세 미만 소아는 불소 함유량이 낮은 치약을 사용하는 것이 좋습니다.

    경미한 치아 불소증 (출처: 위키피디아)
    경미한 치아 불소증 (출처: 위키피디아)

    알레르기, 고혈압에 사용하는 항히스타민제 및 고혈압 약물은 약물 자체가 착색이 되는 것은 아니지만 부작용으로 구강 건조증을 유발합니다. 침은 치아를 씻어내는 자정 작용을 하는데, 침 분비가 줄어들면 음식물 찌꺼기가 치아에 더 잘 달라붙어 착색이 가속화됩니다. 치아가 전반적으로 누렇게 변할 수도 있습니다. 항히스타민제 및 고혈압 약물을 복용할 때는 양치를 더 잘해야 합니다.

노화에 따른 변화, 테트라사이클린, 미노사이클린, 액상철분제와 같은 약물이나 불소의 과도한 섭취 등 내부 요인으로 인한 착색은 외부 요인으로 인한 착색보다 미백 효과가 적습니다. 여러 번 미백을 하거나 경우에 따라서 라미네이트나 크라운 치료를 해야할 수도 있습니다.

외부 요인에 의한 착색은 치아라는 건물의 콘크리트 벽지 위에 묻은 때와 같지만 내부 요인에 의한 변색은 벽지 자체가 변색된 것이라서 미백 효과가 떨어져 장기간 미백 치료가 필요합니다.

2. 치아 미백의 원리

치아 미백제의 주성분은 과산화수소 또는 입안에서 분해되어 과산화수소를 방출하는 카바마이드 퍼옥사이드(Carbamide Peroxide)입니다. 이 물질이 치아를 하얗게 만드는 과정은 단순한 세척이 아닌, 화학적인 산화(Oxidation) 과정입니다.

산화 반응과 활성 산소

미백제를 치아 표면에 도포하면, 과산화수소는 법랑질의 미세한 구멍(법랑 소주)을 타고 내부의 상아질까지 깊숙이 침투합니다. 불안정한 상태의 과산화수소(H2O2)는 치아 내부의 수분 및 효소 혹은 미백기의 특수 광선과 반응하여 붕괴됩니다. 이때 강력한 반응성을 가진 활성 산소(Free Radicals, 자유 라디칼)가 생성됩니다.

H2O2 → 2HO (수산화 라디칼)
H2O2 → H+ + HO2 (퍼하이드록실 라디칼)

활성 산소는 짝을 이루지 못한 전자를 가지고 있어 다른 물질과 매우 빠르고 강력하게 반응하려는 성질을 가진 산소 원자들입니다.

치아 변색 색소는 탄소 고리가 이중 결합(C=C)으로 길게 연결된 구조로 되어 있어 빛을 흡수하고 유색을 띱니다. 생성된 활성 산소는 이 탄소 이중 결합을 공격합니다.

​활성 산소가 탄소 이중 결합을 공격하면, 이 결합이 끊어지면서 단일 결합(C-C)으로 바뀌거나 거대하고 복잡한 고리 구조의 색소 분자 사슬을 끊어 작고 단순한 구조로 분해합니다.

단일 결합 구조는 가시광선을 흡수하지 않고 투과시키거나 반사하므로 색이 옅어집니다. 작아진 분자들은 빛의 산란을 유도하여 치아를 더욱 밝고 하얗게 보이게 하며, 일부 분해 산물은 치아 밖으로 배출됩니다.

이 원리는 더러워진 흰 옷(치아)에 묻은 얼룩(색소)을 표백제(과산화수소)가 잘게 부수어 눈에 보이지 않게 만드는 것과 같습니다. 세탁과 달리 치아 미백은 살아있는 생체 조직인 치아에서 수행되므로 신경에 대한 자극을 최소화하고 치아의 무기질 구조를 보존해야 합니다.

활성 산소가 노화나 세포 손상의 원인이라는 이야기가 있습니다. 치아 미백제로 만들어진 활성 산소는 색소와 반응하는 순간 소멸하여 사라집니다. 즉, 온몸을 돌아다니며 공격하는 것이 아니라 치아 표면의 얼룩만 공격하고 사라지는 자폭 공격에 가깝습니다.

전신 건강보다는 입안의 국소적인 자극을 조심해야 합니다. 활성 산소가 치아가 아닌 잇몸이나 입술 같은 연조직에 닿으면 하얗게 변하거나 화상을 입을 수 있습니다.

치과에서는 고농도 미백제를 사용하지만, 잇몸 보호제를 발라 미백제가 잇몸에 닿는 것을 원천 봉쇄합니다. 치아 미백 후에는 강력한 흡입기(Suction, 석션)로 남은 약제를 제거하므로 환자분이 약을 삼킬 일도 거의 없습니다.

뷰티스 라이트: 반응의 기폭제

과산화수소는 혼자 두어도 서서히 분해되지만, 뷰티스 라이트의 특수 파장대(Blue LED, 430~490nm)의 빛을 만나면 그 반응 속도가 기하급수적으로 빨라집니다. "빛이 닿는 순간, 미백 효과가 깨어납니다." 열에 의한 자극 없이, 더 빠르고 강력하게 치아 깊숙한 곳의 얼룩까지 분해합니다.

뷰티스 라이트.
뷰티스 라이트.

목동나무치과에서 사용하는 미백제에는 과산화수소뿐만 아니라 광개시제(특수 촉매)가 포함되어 있습니다. 이 촉매는 특수 파장대의 빛을 흡수했을 때만 반응하도록 설계되었습니다.

블루 LED를 비추면 미백 겔 속의 광개시제가 빛 에너지를 흡수하여 들뜬 상태가 되고, 이 에너지를 즉시 과산화수소 분자에 전달합니다.

모든 화학 반응에는 넘어야 할 에너지 언덕인 활성화 에너지 장벽(Activation Energy Barrier)이 존재합니다. 블루 LED의 강력한 빛 에너지는 이 장벽을 낮추는 역할을 합니다.

​빛이 없는 상태에서 100개의 과산화수소 중 일부만 분해되어 라디칼이 된다면, 뷰티스 라이트를 비추는 순간 대부분이 순식간에 분해되어 엄청난 양의 활성 산소를 뿜어냅니다. 이것이 1시간 만에 극적인 미백 효과를 내는 비결입니다.

반응과 에너지의 상관 관계. 화학 반응이 일어나기 위해서는 에너지 장벽을 넘어야 합니다.
반응과 에너지의 상관 관계. 화학 반응이 일어나기 위해서는 에너지 장벽을 넘어야 합니다.

과거의 미백기기는 높은 열을 발생시켜 치아 신경을 자극하는 부작용이 있었습니다.

뷰티스 라이트의 Blue LED는 열 발생이 적은 가시광선 영역의 차가운 빛(Cold Light)을 사용합니다. 열에 의한 신경 손상이나 시린 증상은 최소화하면서, 오직 화학 반응만을 선택적으로 활성화합니다.

치아가 시린 것은 깨끗해진 결과

치아미백 후 부작용으로 지각 과민(Hypersensitivity, 시린 증상)을 호소하는 경우가 있습니다.

치아미백 후 이 시림 증상은 치아를 깎거나 영구적으로 손상시켜 시린 것이 아니라, 치아 내부가 일시적으로 예민해진 상태라서 생기는 것입니다.

미백제의 과산화수소는 치아 표면의 유기물뿐만 아니라, 상아세관 입구를 막고 있던 단백질 막까지 깨끗하게 제거합니다. '뚜껑이 열린' 상아세관을 통해 찬 바람이나 물 같은 외부 자극이 신경으로 직접, 그리고 빠르게 전달되어 찌릿한 통증을 느끼게 됩니다.

상아질 안의 상아 세관은 치수강의 신경과 연결되어 있습니다.
상아질 안의 상아 세관은 치수강의 신경과 연결되어 있습니다.

과산화수소가 산화 반응을 일으킬 때, 치아 조직 내의 수분을 함께 사용하여 분해되거나 삼투압 차이로 인해 수분이 밖으로 이동합니다. 따라서 치아 내부가 일시적으로 건조한 상태가 됩니다. 치아 내부의 수분 압력이 낮아지면 신경 조직이 당겨지는 듯한 물리적 스트레스를 받아 예민해집니다.

위의 그림은 법랑질, 상아질, 그리고 상아세관을 통해서 치아 시림 증상을 설명하는 그림입니다. 치경부가 파이거나 잇몸이 내려가서 상아 세관이 바로 노출된 경우에는 시간이 지나도 막히지 않아서 계속 시림 증상이 발생할 가능성이 높습니다. 치경부 마모가 발생한 경우에 레진으로 덮는 이유입니다.

치아 미백으로 법랑질 쪽으로 난 상아세관이 열린 경우는 시술 후 이틀에서 일주일 사이에 침 속의 칼슘과 무기질이 상아세관을 자연스럽게 코팅하여 막아주고 치아 내부에 다시 수분이 차오르면서 자연스럽게 사라집니다.

목동나무치과에서 사용하는 미백제에는 질산칼륨(KNO3)과 불소 성분을 함유하고 있습니다. 질산칼륨은 통증이 전달되는 경로인 신경 자체를 직접 진정시키는 역할을 합니다. 외부 자극이 들어와도 신경이 반응하지 못하게 만드는 방식입니다.

질산칼륨의 칼륨 이온(K+)은 상아세관을 통해 신경 주변으로 침투하여, 신경세포 주변의 칼륨 농도를 높입니다. 높아진 칼륨 농도는 신경세포의 전위차를 깨뜨려 신경이 통증을 뇌로 전달하는 것을 방해합니다. 쉽게 말하면 신경을 일시적으로 진정시켜 통증 신호가 뇌로 가는 것을 차단합니다.

불소는 미백제로 인해 뚜껑이 열린 상아세관의 입구를 물리적으로 막아주는 역할을 합니다. 불소 이온(F-)은 침 속에 있는 칼슘(Ca2+)이나 인(P) 성분과 결합합니다. 이 반응으로 불화칼슘(CaF2)이나 불화인회석을 만들어서 상아세관의 입구와 내벽에 침착되어 구멍을 메웁니다.

구멍이 막히면 찬물이나 바람이 들어가도 내부의 신경까지 자극이 전달되지 않습니다. 또한, 약해진 치아 표면을 다시 단단하게 만드는 재광화 효과도 동시에 줍니다.

3. 전문가 vs 자가 vs 셀프

치아 미백은 전문가 미백, 자가 미백, 셀프 미백 방식이 있습니다. 전문가 미백은 치과에서 의료진이 직접 시술하는 치아 미백입니다.

자가 미백과 셀프 미백은 집에서 직접 하는 미백을 의미하지만, 자가 미백은 치과에서 맞춤 트레이를 받아 저농도 약제로 집에서 관리하는 방식을, 셀프 미백은 시중에서 구매 가능한 미백 패치, 치약 등 의약외품을 사용하는 경우를 주로 뜻합니다.

15%와 3% 농도 차이

식약처는 과산화수소의 농도에 따라 치아 미백제를 의약외품과 전문가용으로 엄격히 분류하여 관리합니다. 치과에서 하는 전문가 미백은 15% 농도의 전문의약품 미백제를 사용하며, 자가 미백이나 셀프 미백 제품은 3% 농도의 의약외품입니다.

  • 자가 미백제, 셀프 미백제(의약외품): 일반 소비자가 약국이나 마트에서 구매할 수 있는 제품으로, 과산화수소 농도가 3% 이하로 제한됩니다. 오남용 시 발생할 수 있는 구강 점막 손상을 방지하기 위한 안전 조치입니다.

    농도가 낮은 만큼 효과가 적은 편이고, 눈에 띄는 변화를 얻기 위해서는 수주에서 수개월 간 매일 장시간 사용해야 하는 단점이 있습니다.

  • 전문가 미백제(전문의약품): 치과에서 전문가 미백시 사용하는 제품으로, 국내 허가 기준 최대 15% 농도의 과산화수소를 사용합니다. 자가 미백제, 셀프 미백제 대비 최대 5배의 고농도로, 강력한 산화력을 통해 단시간 내에 확실한 미백 효과를 제공합니다.

치과에서 하는 전문가 미백은 자가 미백 대비 최대 5배의 고농도 제품을 사용하므로 1회 시술만으로도 눈에 띄게 밝아지는 효과를 볼 수 있습니다(보통 1~2단계 밝아집니다).

  • 자가 미백은 치과에서 치아 본을 떠서 만든 본인 맞춤형 미백 틀(Tray)과 전문가 처방 미백 겔을 이용하여 직접 집에서 치아를 하얗게 만드는 방법입니다. 저농도의 미백제라서 효과를 보려면 매일 2~5 시간씩 2주 이상 해야하므로 실제로 해보면 많이 불편합니다.

  • 자가 미백은 전문가 미백보다 저농도라서 단순히 보면 부작용 가능성은 낮지만 직접 미백제를 틀에 도포하는 과정에서 고르게 도포가 되지 않거나 넘칠 가능성이 있고, 잇몸 보호제를 사용하지 않으며, 오랜 시간 해야한다는 점에서 전체적으로 보면 부작용 가능성과 미백제를 삼킬 가능성은 더 큽니다.

  • 자가 미백 본인 맞춤형 미백 틀 제작은 비용이 높은 편입니다. 목동나무치과의 전문가 미백은 비교적 저렴하여 미백 틀을 제작하는 자가 미백과 큰 차이가 나지 않습니다.

  • 부착 형태의 셀프 미백 제품은 개개인의 잇몸 라인에 딱 맞지 않습니다. 이 틈으로 미백제가 흘러들어가면 연약한 잇몸 조직이 하얗게 변하고 헐게 되는 화학적 화상을 입을 수 있습니다.

    과산화수소로 생긴 잇몸 화상 (출처:British Dental Journal, 215, 29–34, 2013)
    과산화수소로 생긴 잇몸 화상 (출처:British Dental Journal, 215, 29–34, 2013)
  • 입안은 항상 침이 나옵니다. 침은 미백제를 희석시켜 효과를 떨어뜨립니다. 침 차단이 어려워 셀프 미백을 잘못하면 어떤 곳은 하얗고, 어떤 곳은 그대로인 얼룩덜룩한 치아가 될 위험이 있습니다.

  • 미백제는 자연 치아만 하얗게 만들 수 있습니다. 이미 레진 치료를 받았거나, 크라운을 씌운 치아는 미백제에 반응하지 않습니다.

    전문가 미백은 각 치아를 고려해서 목표 밝기를 세밀하게 조절하지만, 셀프 미백을 하는 각 개인이 기존 보철물의 밝기까지 고려하기 힘듭니다.

    셀프 미백 후 자연 치아만 밝아지면, 기존 보철물이 상대적으로 더 누렇게 돋보여 오히려 심미적으로 보기 싫은 결과가 발생하기도 합니다.

미백은 단순한 미용 시술이 아니라, 강한 산화제를 사용하는 엄연한 의료 행위입니다. 안전하고 효과적인 미백을 위해서는 치아 상태(충치, 치석, 보철물 유무)를 정확히 진단받은 후, 식약처 허가를 받은 정품 미백제를 사용하여 전문가 미백을 받는 것이 가장 현명한 방법입니다.

고농도 불법 제품의 위험성

과산화수소는 치과에서 소독제로도 사용합니다. 과거에 일부 치과에서 고농도 과산화수소와 연마제를 섞어서 치아 미백을 해서 문제가 된 경우가 있었습니다.

치아 미백제는 액체가 아니라 겔 형태로 되어 있습니다. 고농도 과산화수소와 연마제를 직접 섞으면 농도가 균일하지 않아서 치아 얼룩이 생기거나 부작용이 발생할 가능성이 커집니다.

치과에서 전문가 미백을 받을 때는 사용하는 미백제가 어떤 제품인지, 미백제로 허가 받은 제품 인지 꼭 확인하시기 바랍니다. 약학정보원 홈페이지에서 제품 명을 검색하여 치아 미백제로 허가받은 제품인 지 확인할 수 있습니다.

약학정보원의 뷰티스15 정보. 치아 미백제로 허가받은 제품임을 알 수 있습니다.
약학정보원의 뷰티스15 정보. 치아 미백제로 허가받은 제품임을 알 수 있습니다.
약학정보원의 뷰티스15 정보. 치아 미백제로 허가받은 제품임을 알 수 있습니다.
약학정보원의 뷰티스15 정보. 치아 미백제로 허가받은 제품임을 알 수 있습니다.

뷰티스15 미백제는 개별 포장으로 되어 있어 치아 미백을 받기 전에 직접 확인할 수 있습니다.

개별 포장된 오스템 뷰티스15 치아 미백제
개별 포장된 오스템 뷰티스15 치아 미백제

최근에는 인터넷을 통해 유통되는 해외 직구 제품 중에는 국내 의약외품 허용 기준인 3%를 훨씬 초과하거나 식약처의 안전성 검증을 거치지 않은 공업용 성분이 포함된 경우가 있습니다.

외국에서는 35%의 고농도 치아 미백제를 사용하기도 하지만 시술후 극심한 시림, 잇몸 화상, 치아 법랑질 손상 등의 부작용 가능성이 커집니다. 15%의 중농도 과산화수소 치아 미백제는 신경, 잇몸, 입술에 대한 자극이 적어 훨씬 안전합니다.

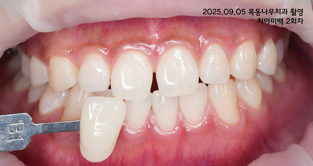
4. 치아 색상 쉐이드 가이드

미백 시술 전후의 색상 변화를 정확히 파악하여 시술의 효과를 입증하고, 환자와 의료진 간의 원활한 소통을 돕기 위해서 목동나무치과는 쉐이드 가이드(Shade Guide)를 사용합니다.

쉐이드(shade)는 그늘이라는 뜻이지만 치과에서는 치아의 색상과 밝기를 뜻합니다. 쉐이드 가이드는 실제 사람의 치아 색상과 유사하게 만들어진 치아 모형 견본입니다. 쉽게 말해서 '치아 색상 견본표'입니다.

명도, 채도, 색상까지 찾아주는 비타 3D 쉐이드 가이드도 있지만 목동나무치과에서는 환자와의 원활한 소통을 위해서 가장 오랫동안, 그리고 가장 널리 사용되어 온 표준 색상표인 비타 클래시컬 쉐이드 가이드를 주로 사용합니다.

비타 클래시컬 쉐이드 가이드 A1-D4
비타 클래시컬 쉐이드 가이드 A1-D4

쉐이드 가이드에서 A, B, C, D는 색상을, 1, 2, 3, 4는 밝기(채도와 명도 모두 포함) 정도를 나타냅니다. A는 한국인에게 가장 흔한 붉은 갈색 계열, B는 붉은 노란색 계열, C는 회색 계열, D는 붉은 회색 계열입니다.

숫자는 1이 가장 밝고 4가 가장 어둡습니다. 최근에는 아주 밝게 표백된 치아를 위해서 0M1, 0M2, 0M3도 추가되었습니다.

정석적인 사용방법은 환자의 치아에서 가장 지배적인 색조가 무엇인지 파악하여 A, B, C, D 중 하나의 그룹을 선택합니다. 그리고 그 그룹 안에서 숫자를 결정합니다. 예를 들어 A그룹을 선택했다면, A1, A2, A3, A3.5, A4 중에서 환자의 치아 밝기와 농도에 맞는 것을 고릅니다. 한국인의 평균적인 자연치아 색상은 A2 ~ A3 사이가 가장 많습니다.

사람의 눈은 색상보다 밝기 차이에 더 민감하기 때문에 실제 치과에서는 밝은 순서로 재배열하여 사용하는 경우가 많습니다. 주로 B1, A1, B2, D2, A2, C1, C2, D4, A3, D3, B3, A3.5, B4, C3, A4, C4 순서로 배열합니다.

사람의 기억은 부정확합니다. "예전보다 하얘진 것 같긴 한데..."라는 주관적인 느낌 대신, 명확한 기준표를 통해 변화를 객관적인 수치로 보여줍니다.

목동나무치과는 시술 전후에 찍어둔 사진과 기록을 바탕으로 미백 효과를 객관적으로 평가합니다. "처음에 A3였는데 지금은 B1이 되셨습니다. 쉐이드 가이드 기준으로 약 4단계가 밝아지셨네요."라고 시술 결과를 눈으로 확인시켜 줍니다.

쉐이드 가이드는 미백 치료 뿐만 아니라 레진 치료, 보철 치료, 틀니, 임플란트 시에 레진과 보철물의 색상을 정할 때에도 자주 사용합니다.

목동나무치과는 매크로 렌즈를 단 카메라로 치아 사진을 찍는 것을 기본 프로토콜로 합니다. 쉐이드 가이드와 치아를 함께 찍어서 체어 앞 대형 TV로 보철물의 색상을 환자가 결정할 수 있도록 하고 있습니다.

앞니 크라운을 할 때 쉐이드 가이드를 사용하여 환자와 소통하여 크라운의 색상을 정합니다. 앞니 크라운을 할 때 쉐이드 가이드를 사용하여 환자와 소통하여 크라운의 색상을 정합니다.
앞니 크라운을 할 때 쉐이드 가이드를 사용하여 환자와 소통하여 크라운의 색상을 정합니다.

5. 목동나무치과 미백 과정

목동나무치과의 치아 미백은 4단계로 진행됩니다. 1단계: 미백 전 검진을 하고 환자의 현재 치아 색상을 사진으로 기록하고 목표를 설정합니다. 2단계: 입벌리개(개구기)로 입술을 분리하고, 잇몸보호제로 치아와 잇몸을 분리합니다. 3단계: 미백제를 도포하고 뷰티스 라이트를 비춥니다. 4단계: 마무리하고 미백 결과를 확인합니다.

1단계: 정밀 진단 및 상담

치아 미백 전에 쉐이드 가이드를 사용하여 환자의 현재 치아 색상을 객관적으로 기록하고 환자가 기대하는 목표 색조를 설정합니다.

미백전 충치, 치석, 잇몸 염증 유무를 확인하고 이 과정에서 미백으로 개선 가능한 범위와 불가능한 부분(기존 보철물, 심한 테트라사이클린 변색 등)을 명확히 설명합니다.

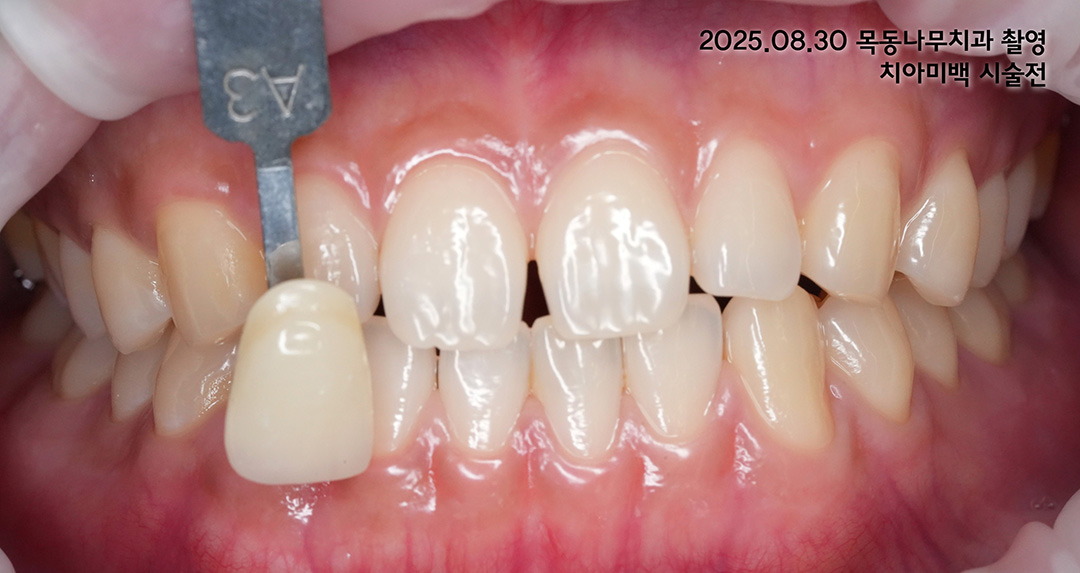
치아 미백 전에 쉐이드 가이드로 확인하니 A3 였습니다.
치아 미백 전에 쉐이드 가이드로 확인하니 A3 였습니다.

2단계: 입술, 잇몸 보호

치아 표면에 치석이나 바이오필름이 존재하면 미백제가 치아 구조로 침투하는 것을 방해합니다.

따라서 미백 시술 직전 스케일링을 시행하여 치아 표면을 깨끗하게 노출시키면 미백 효과를 극대화할 수 있습니다. 필요한 경우에 치아 미백 전에 치면 연마제를 사용하여 치아 표면의 바이오 필름을 제거합니다.

'1년에 2번 스케일링으로 충치와 잇몸병 예방합시다.' 캠페인으로 목동나무치과에서 2026년에 스케일링을 받은 경우, 비보험인 두 번째 스케일링을 보험 스케일링보다 더 저렴하게 1만원으로 하고 있습니다.

먼저 입벌리개(개구기, 開口器, Retractor)를 장착하여 입술과 볼을 격리하여 미백제로 인한 입술 손상을 사전에 예방합니다.

미백 전 입벌리개(개구기)를 장착한 모습
미백 전 입벌리개(개구기)를 장착한 모습

그 다음으로 흐름성이 있는 잇몸 보호제(Gingival Dam)를 치아와 잇몸의 경계부에 정밀하게 도포한 후 광중합하여 단단하게 굳힙니다. 이 과정은 미백제가 잇몸에 닿아서 발생할 수 있는 화학적 화상을 원천 봉쇄합니다. 미백제 도포 전에 가장 중요한 작업으로 꼼꼼하게 도포합니다.

치아미백전 파란색 잇몸 보호제를 도포하여 굳힌 모습
치아미백전 파란색 잇몸 보호제를 도포하여 굳힌 모습

3단계: 미백제 도포 및 활성화

미백 겔이 잇몸 보호제를 넘어가지 않도록 주의하면서 꼼꼼하게 치아 전면에 고르게 도포합니다.

뷰티스 라이트를 환자의 치아에 조준하여 광촉매 반응으로 활발한 미백 작용이 일어나도록 합니다.

LED가 눈에 직접적인 자극을 주는 것을 방지하기 위해서 일반적으로 얼굴을 덮고 진행합니다.

답답함을 느끼는 환자분의 경우 얼굴을 덮지 않고 진행하기도 합니다. 이 때는 안대를 착용하지만 뷰티스 라이트가 켜져 있는 동안 눈을 감고 있는 것이 좋습니다.

4단계: 마무리 및 결과 확인

검진에서 미백 마무리까지 보통 1시간 정도 걸립니다.

뷰티스 라이트를 비추는 동안 불편함이 있는 경우 의료진을 호출할 수 있도록 누르면 소리가 나는 벨을 손에 쥐어 드립니다. 목동나무치과는 환자분의 작은 불편함도 놓치지 않도록 세심하게 배려합니다.

미백이 끝나면 미백제와 잇몸 보호제를 깨끗이 제거하고 치아를 물로 세척합니다. 시술 후 다시 매크로 렌즈를 단 카메라로 사진을 찍어서 미백 효과를 확인합니다.

치아 미백 전에 쉐이드 가이드로 확인하니 A3 였습니다.
치아 미백 전에 쉐이드 가이드로 확인하니 A3 였습니다.
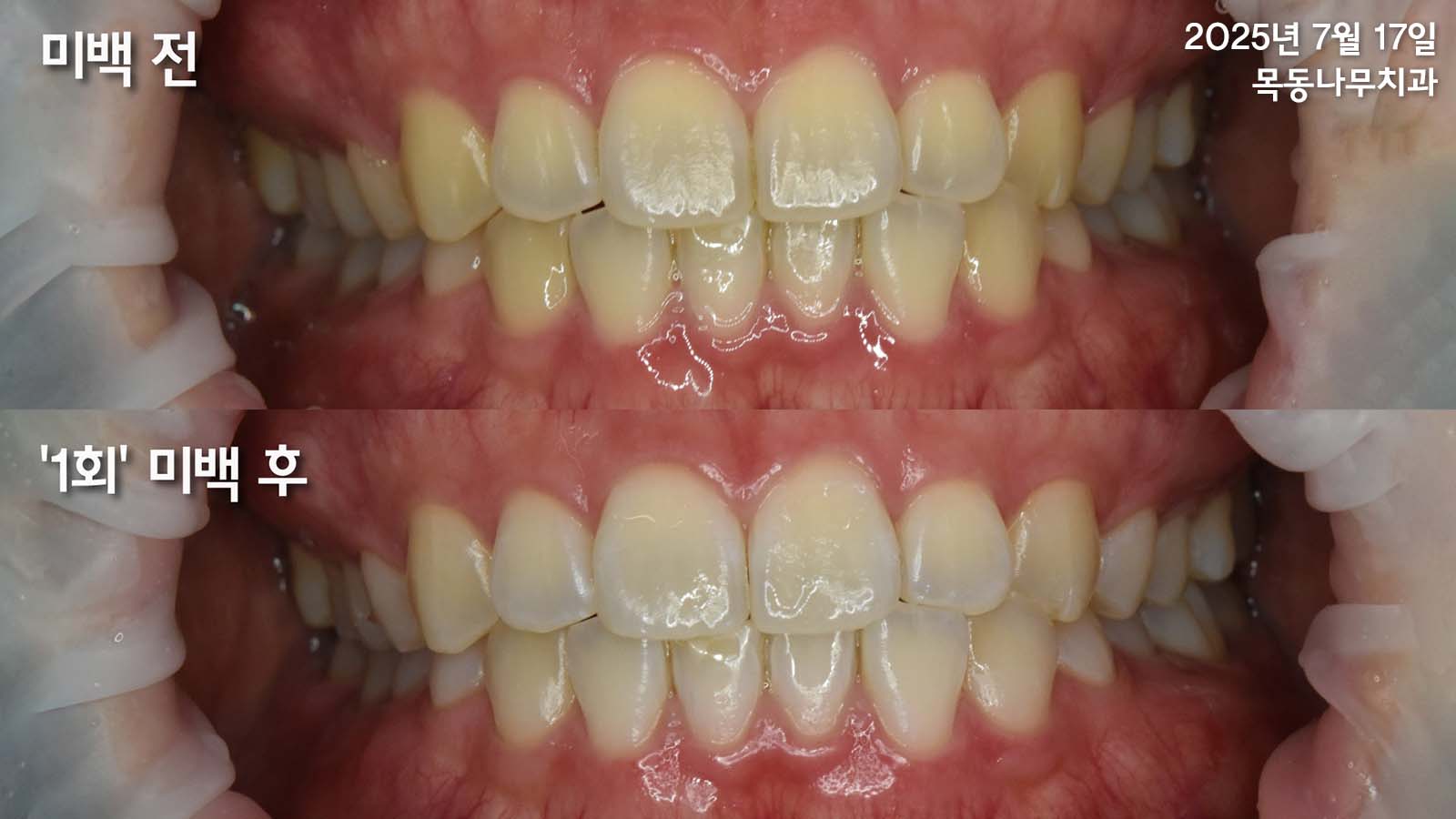
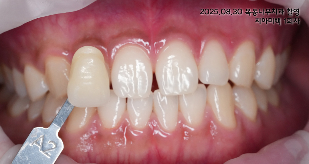
1회 미백후 A2와 비슷해졌습니다.
1회 미백후 A2와 비슷해졌습니다.
2회 미백후 B1과 비슷해졌습니다.
2회 미백후 B1과 비슷해졌습니다.
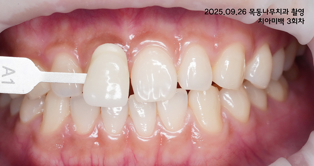
3회 미백후 A1 보다 밝아졌습니다.
3회 미백후 A1 보다 밝아졌습니다.

시술 직후 환자분께서 시린 증상을 느끼시는지 세심하게 확인합니다. 시린 증상이 있는 경우 즉시 지각 과민 완화제를 도포하여, 귀가 후 발생할 수 있는 불편함을 미리 예방합니다.

6. 목동나무치과 미백이 특별한 점

치아 미백제로 허가받은 제품을 사용합니다

앞에서 설명했듯이 목동나무치과는 식약처 허가 제품인 뷰티스15 정품과 전용 뷰티스 라이트를 사용하여 안전하고 효과적입니다. 치아 미백을 받기 전에 꼭 '치아 미백제'로 허가 받은 제품인지 확인하시기 바랍니다.

3+1 미백으로 효과가 장기간 지속됩니다

미백 효과는 시술 직후부터 약 6개월간 가장 뚜렷하게 유지됩니다. 이후 음식물 섭취와 노화 등 자연적인 요인으로 인해 2년에 걸쳐 서서히 색조가 원래대로 돌아가려는 경향을 보입니다.

목동나무치과는 1주 간격으로 3번 미백 치료 후에 6개월 뒤에 추가 1번 미백 치료하는 것(3+1)을 기본 프로토콜로 합니다.

6개월 뒤에 미백 치료 효과가 줄어들기 시작할 때 다시 미백 치료를 해서 효과를 유지하기 위함입니다.


실제 1주 간격으로 3회 치료를 진행하여 효과를 본 사례를 확인해 보겠습니다.

사진의 밝기는 찍을 때 그리고 편집할 때 아주 쉽게 바꿀 수 있습니다. 치아 밝기를 정확하게 확인하기 위해서는 기준점이 필요합니다. 목동나무치과는 쉐이드 가이드와 함께 찍어서 밝기를 정확하게 확인합니다.

아래 사진들은 날짜를 달리하여 찍은 사진이라서 노출이나 화벨이 약간씩 다릅니다. 정확하게 비교할 수 있도록 쉐이드 가이드를 기준으로 각 사진의 개구기의 밝기가 비슷하도록 노출 조정을 했습니다.

미백 전에는 전체적으로 모두 노란 색으로 착색이 심했지만 3회 미백으로 A3.5에서 B1으로 밝아졌습니다.

3회 미백으로 A3.5 → A2 → A1 → B1으로 개선되었습니다.
3회 미백으로 A3.5 → A2 → A1 → B1으로 개선되었습니다.

아래의 움직이는 사진(움짤)을 통해 변화 과정을 한눈에 확인해 보세요.


부작용이 없는 경우에는 하루에 2번 연속으로 치아 미백이 가능합니다.

다음은 시간을 내기 힘들어서 2주 간격으로 2회 연속으로 해서 총 4회 진행한 사례입니다. 결혼식 등 빨리 치아 미백 효과를 보고 싶거나 시간 내기 힘든 경우에 이렇게 진행하기도 합니다.

다음은 부작용이 없어 하루 2회 연속, 총 4회를 진행하여 단기간에 밝아진 사례입니다.

부작용이 없어 하루 2회 연속으로 해서 총 4회 진행한 경우.
부작용이 없어 하루 2회 연속으로 해서 총 4회 진행한 경우.

아래의 움직이는 사진(움짤)을 통해 변화 과정을 한눈에 확인해 보세요.

부작용이 없어 하루 2회 연속으로 해서 총 4회 진행한 경우.
부작용이 없어 하루 2회 연속으로 해서 총 4회 진행한 경우.

음식물, 담배, 헥사메딘 등 외부 요인으로 인한 착색은 치아 미백제가 바로 반응합니다. 그러나, 노화로 법랑질이 마모되고 상아질이 두꺼워져 생긴 착색은 효과를 보기까지 시간이 걸립니다.

위의 사례는 2주 뒤 3차와 4차 미백에서 급격하게 밝아졌습니다. 이렇게 사람에 따라서 미백 효과가 급격하게 나타나는 시기에는 차이가 있습니다. 미백 치료는 1회하고 크지 않다고 중단하기 보다 3회까지는 연속해서 진행하는 것이 좋습니다.


1차 미백이나 2차 미백으로 치아가 충분히 밝아졌더라도 치아 깊은 곳에는 색소가 남아 있는 경우가 많습니다. 다음 사례는 미백 전 A1~A2 정도였고 1차 미백후에 바로 B1이 되었습니다.

1차 미백 후 사진을 보면 치아 끝 부분부터 넓게 밝아졌지만 잇몸 근처와 구석진 곳은 약간 어둡습니다. 2차 미백, 3차 미백 사진을 보면 미백을 반복하면서 구석진 곳까지 전체적으로 골고루 밝아졌고 시간이 지난 다음에도 미백이 잘 유지되는 것을 알 수 있습니다.

3회 미백 결과가 모두 B1이지만 반복 하면서 치아 전체가 모두 밝아졌습니다.
3회 미백 결과가 모두 B1이지만 반복 하면서 치아 전체가 모두 밝아졌습니다.

아래의 움직이는 사진(움짤)을 통해 변화 과정을 한눈에 확인해 보세요.

3회 미백 결과가 모두 B1이지만 반복 하면서 치아 전체가 모두 밝아졌습니다.
3회 미백 결과가 모두 B1이지만 반복 하면서 치아 전체가 모두 밝아졌습니다.

미백 결과를 객관적으로 확인합니다

앞에서 설명했듯이 목동나무치과는 매크로 렌즈를 단 카메라로 쉐이드 가이드와 함께 치아를 찍어 미백 효과를 객관적으로 확인합니다.


다음은 미백을 3번 받는 동안 총 6번 사진을 찍은 결과입니다. 이 사진에서 원래는 A3, 가장 밝아졌을 때는 B1이라는 것을 알 수 있습니다.

1차 미백 후 1주일 뒤 에 찍은 2차 미백 전 사진과 2차 미백 후 2주일 뒤에 찍은 3차 미백 전 사진을 비교해보면 미백을 반복할수록 치아 깊은 곳의 색소가 사라져 원래 색깔로 돌아오는 속도가 늦어진다는 것을 알 수 있습니다.

미백을 3번 받는 동안 총 6번 사진을 찍은 결과
미백을 3번 받는 동안 총 6번 사진을 찍은 결과

아래의 움직이는 사진(움짤)을 통해 변화 과정을 한눈에 확인해 보세요.

미백을 3번 받는 동안 총 6번 사진을 찍은 결과
미백을 3번 받는 동안 총 6번 사진을 찍은 결과

검진부터 시술까지 꼼꼼하게 합니다

목동나무치과는 치아 미백 1단계로 구강 검진을 필수적으로 진행합니다(따로 비용을 받지 않습니다). 치아 균열, 치아 마모, 충치, 잇몸 질환이 있는 경우에 부작용의 가능성이 더 큽니다.

파노라마 엑스레이 촬영을 하면 보다 자세하게 검진할 수 있습니다. 파노라마 엑스레이 촬영은 건강보험이 적용되어 1만원 내외의 비용입니다.

파노라마 엑스레이 촬영 여부는 직접 선택할 수 있으며 파노라마 엑스레이 촬영을 안한 경우에는 간단한 육안 검사만 진행합니다.

보철물은 미백제로 밝아지지 않습니다. 이를 모르고 진행하면 자연치아만 하얗게 되어 오히려 보철물이 도드라져 보이는 상태가 됩니다. 검진을 통해 미백 후 교체가 필요한 보철물이 있는 지 살펴봅니다.

치아 변색의 원인이 단순 착색인지, 약물(테트라사이클린)이나 신경 손상으로 인한 내부 변색인지도 확인합니다. 약물에 의한 변색은 미백 치료 효과가 크지 않습니다. 미백 치료와 함께 라미네이트 등 다른 심미 치료가 필요할 수 있습니다.

다음은 동일한 치아를 일반 카메라와 큐레이 캠(Q-Ray Cam)으로 찍은 사진입니다.

큐레이 캠은 치아에 인체에 무해한 특수 파장의 푸른 가시광선을 비추어 사진을 찍습니다. 큐레이 캠은 치석, 치태 속 세균이 내뿜는 분비물은 붉은 색, 깨지거나 금이 간 곳은 어두운 선으로 표시합니다.

일반 사진과 큐레이캠 사진. 깨끗해 보이는 치아도 곳곳에 치태와 치석이 보입니다.
일반 사진과 큐레이캠 사진. 깨끗해 보이는 치아도 곳곳에 치태와 치석이 보입니다.

위의 그림을 보면 깨끗해 보이는 치아도 여기 저기 미세한 치태가 쌓여 있습니다. 바이오필름, 치석, 치태가 없어야 미백 효과를 극대화할 수 있습니다. 스케일링 후에 잇몸출혈이 있는 경우에 감염 위험성이 있어 잇몸이 아문 후에 치아 미백하는 것이 좋습니다. 스케일링 -> 잇몸회복 -> 치아미백 순서로 하는 것이 좋습니다.

7. 미백 후 주의사항과 화이트 다이어트

미백 후 주의사항

미백 후에 식사는 최대한 늦게 하는 것이 좋습니다(적어도 2시간 뒤에. 늦게 할 수록 좋습니다).

미백치료 후 주의사항
미백치료 후 주의사항

미백 후 '화이트 다이어트'를 실천하세요

미백 시술 후 사후 관리는 시술 자체만큼이나 중요합니다. 시술 직후 48시간은 미백의 성패를 가르는 골든 타임입니다.

미백 후에는 치아 표면을 보호하던 획득 피막이 일시적으로 제거되고 법랑질의 미세 공극이 열려 있는 상태가 됩니다.

이때 치아는 건조하고 다공성이 증가하여 평소보다 색소 흡수율이 기하급수적으로 높아집니다. 법랑질이 재광화되고 피막이 완전히 재생되어 보호 기능을 회복하기까지 최소 48시간이 소요됩니다.

미백 후 최소 48시간에서 일주일까지 철저한 식이 조절을 해야 미백 효과를 장기적으로 계속 가져갈 수 있습니다. 착색이 잘되는 커피, 콜라, 홍차, 블랙티, 카레, 초콜릿, 김치찌개, 라면, 간장이 들어간 음식은 피합니다.

우유, 바나나, 흰 쌀밥, 두부, 닭가슴살, 백김치, 맑은 국물 등 색이 없는 음식 위주로 식사하는 일명 '화이트 다이어트(White Diet)'가 필요합니다.

담배 연기의 미세 입자는 열려있는 치아 공극에 깊숙이 침투하여 치명적인 착색을 유발합니다. 시술 후 적어도 48시간, 가능하다면 일주일은 금연해야 합니다.

8. 마치며: 다양한 미백 사례

치아 미백은 현대인의 삶의 질을 높이는 중요한 심미 치료입니다. 과산화수소의 산화 환원 반응을 통해서 치아 내 색소 분자를 구조적으로 분해합니다.

다양한 자가 미백 제품이 있지만 안전성과 확실한 효과를 위해서는 식약처에서 허가한 최대 15% 농도의 전문의약품을 사용하는 전문가 치아미백이 좋습니다.

앞에서 이미 4 건의 미백 사례를 살펴봤습니다. 다른 치아 미백 사례까지 추가하여 2025년 8월부터 4개월 간의 9건의 치아 미백 사례를 살펴보며 마무리합니다.

사례 1: 2회 미백을 통해서 A3.5에서 A1으로 (2025.09.01~)

다음은 2회 미백을 통해서 A3.5에서 A1으로 치아색이 밝아진 경우입니다. 같은 A1이지만 1차 미백 후 보다 2주 후 2차 미백이 더 밝습니다.

2주 경과 후에 A1에서 A2로 떨어졌지만 반복해서 미백 받는 경우에 깊은 곳의 색소까지 분해되어 미백 효과가 지속되는 기간이 길어집니다.

2회 미백을 통해서 A3.5에서 A1으로 치아색이 밝아진 경우
2회 미백을 통해서 A3.5에서 A1으로 치아색이 밝아진 경우

아래의 움직이는 사진(움짤)을 통해 변화 과정을 한눈에 확인해 보세요.

2회 미백을 통해서 A3.5에서 A1으로 치아색이 밝아진 경우
2회 미백을 통해서 A3.5에서 A1으로 치아색이 밝아진 경우

사례 2: 2회 미백으로 A3.5에서 B1으로 (2025.10.20~)

다음은 2회 미백을 통해서 A3.5에서 B1으로 치아색이 밝아진 경우입니다. 사람마다 치아의 최대 밝기는 다릅니다.

A3.5에서 B1으로 치아색이 밝아진 경우
A3.5에서 B1으로 치아색이 밝아진 경우

아래의 움직이는 사진(움짤)을 통해 변화 과정을 한눈에 확인해 보세요.

2회 미백을 통해서 A3.5에서 B1으로 치아색이 밝아진 경우
2회 미백을 통해서 A3.5에서 B1으로 치아색이 밝아진 경우

사례 3: 3회 미백으로 A3에서 A1으로 (2025.08.30~)

​다음은 3회 미백으로 A3에서 A1으로 밝아졌습니다. 2차 미백 후에는 쉐이드 가이드 B1, 3차 미백 후에는 쉐이드 가이드 A1과 함께 사진을 찍었습니다.

눈으로 보기에 B1이 A1보다 아주 약간 밝아보이지만, 사실 A1, B1은 거의 같은 밝기로 색깔 차이만 있습니다.

3회 미백으로 A3에서 A1으로 밝아졌습니다.
3회 미백으로 A3에서 A1으로 밝아졌습니다.

아래의 움직이는 사진(움짤)을 통해 변화 과정을 한눈에 확인해 보세요.

3회 미백으로 A3에서 A1으로 밝아졌습니다.
3회 미백으로 A3에서 A1으로 밝아졌습니다.

사례 4: 4회 미백으로 전체적으로 모두 밝아짐 (2025.08.19~)

다음은 4회 미백으로 A3에서 A1으로 밝아졌습니다.

2차, 3차, 4차 미백의 결과가 모두 A1이지만 2차, 3차, 4차로 오면서 치아 전체적으로 모두 밝아졌습니다. 치아 테두리나 잇몸 경계 부위는 미백을 반복해야 완전히 밝아집니다.

4회 미백으로 A3에서 A1으로 밝아졌습니다.
4회 미백으로 A3에서 A1으로 밝아졌습니다.

아래의 움직이는 사진(움짤)을 통해 변화 과정을 한눈에 확인해 보세요.

4회 미백으로 A3에서 A1으로 밝아졌습니다.
4회 미백으로 A3에서 A1으로 밝아졌습니다.

사례 5: 2회 미백으로 A3에서 B1까지 (2025.09.16~)

다음은 2회 미백으로 A3에서 B1으로 밝아졌습니다.

2차 미백 후에 B1까지 밝아졌지만 1차 미백 후와 2차 미백 전을 비교하면 비교적 착색이 잘되는 사례로 이런 경우 시간을 간격을 두고 추가 미백을 받으면 좀 더 오랫동안 밝은 치아를 유지할 수 있습니다.

2회 미백으로 A3에서 B1으로 밝아졌습니다.
2회 미백으로 A3에서 B1으로 밝아졌습니다.

아래의 움직이는 사진(움짤)을 통해 변화 과정을 한눈에 확인해 보세요.

2회 미백으로 A3에서 B1으로 밝아졌습니다.
2회 미백으로 A3에서 B1으로 밝아졌습니다.

사례 6: 3회 미백으로 A3.5에서 B1으로 (2025.09.09~)

전체적으로 모두 노란 색으로 착색이 심했지만 3회 미백으로 A3.5에서 B1으로 밝아진 사례입니다.


사례 7: 4회 미백으로 A3.5에서 B0.5로(2025.09.02~)

시간을 내기 힘들어서 2주 간격으로 2회 연속으로 해서 총 4회 진행한 사례입니다.

사례 8: 3회 미백으로 A2에서 B1으로 (2025.10.22~)

1차 미백에서 B1까지 밝아졌지만 2차, 3차 미백을 진행하여 구석진 곳까지 전체적으로 골고루 밝아진 사례입니다.

사례 9: 3회 미백으로 A3에서 B1으로 (2025.10.22~)

미백을 반복할수록 치아 깊은 곳의 색소가 사라져 원래 색깔로 돌아오는 속도가 늦어진 사례입니다.

  • 목동나무치과는 치아 미백제로 허가받은 오스템 뷰티스15 치아미백을 1회 8만원에 하고 있습니다.
  • 3회 미백시 1회 미백이 무료입니다. 2025년까지 3+1회 24만원을 23만원으로 할인하고 있습니다.
  • 1회 미백 후에 효과를 확인하시고 4회 미백으로 변경하셔도 됩니다. 초기에는 3회 집중 미백하는 것이 효과가 오래 지속됩니다.

목동나무치과 전문가 치아미백 바로 예약하세요.

참고